概述
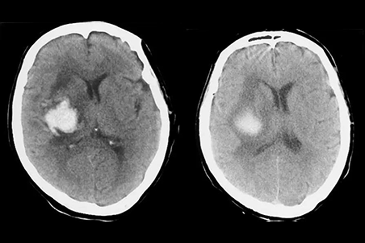
高血压病脑出血内囊出血,是指高血压脑的内囊部位出血,CT平扫可见圆形或卵圆形均匀高密度影。
症状
内囊为脑出血最为常见的部位,当高血压病脑出血发生在内囊时,一般无法通过肉眼观察,需借助影像学检查帮助诊断,CT平扫可见圆形或卵圆形均匀高密度影,边界清楚,周围水肿呈低密度改变。
内囊出血还可表现为头痛、头晕、短暂意识模糊、嗜睡、精神症状、一过性肢体运动、感觉异常或说话不清等症状。
病因
长期高血压会导致脑内动脉壁薄弱,在活动、情绪激动等条件下,容易导致内囊部位脑血管破裂出血,引起头晕、感觉异常等症状。
治疗
高血压病脑内囊部位出血的治疗主要包含急性期处理、对症处理和一般处理。
急性期处理
保持呼吸道通畅,必要时可行气管插管或者人工通气。建立静脉通路,监测生命指征。
对症处理
高血压病脑出血后,应遵医嘱使用降压药物,使血压维持在160/100mmHg左右;使用甘露醇等脱水剂,控制脑水肿、降低颅内压;使用尼莫地平、维生素E、维生素C等药物清除自由基,进行脑保护。
一般处理
应绝对卧床休息,如患者烦躁不安,可遵医嘱使用地西泮类药物;尿潴留者,应保留导尿;静脉补液,保持水、电解质平衡。
参考文献
[1]沈洪,刘中民.急诊与灾难医学.第3版[M].北京.人民卫生出版社.2018.20-30.
[2]洪晓军.神经内科学.高级医师进阶.第1版[M].北京.中国协和医科大学出版社.2016.275-285.
展开
