概述
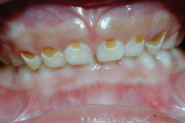
2岁宝宝牙釉质脱落严重主要表现为牙齿表面出现带状或窝状的棕色凹陷,可能是牙釉质发育不全导致,需尽快到口腔科就诊治疗。
症状
重度牙釉质发育不全的患者,牙面可出现带状或者窝状的棕色凹陷,由于致病因素出现在牙发育期,故受累牙往往呈对称性。乳牙根尖周严重感染,可导致继承恒牙釉质发育不全。

病因
全身疾病、严重营养障碍、内分泌失调、婴儿和母体疾病以及局部严重的乳牙根尖周感染可导致牙釉质形成异常,牙釉质发育不全系牙釉质基质形成障碍所致,临床上常伴有实质缺损。
治疗
牙釉质发育不全者应预防龋病发生,牙着色或者缺陷,可使用复合树脂、烤瓷冠等方法进行治疗。日常生活中应养成良好的刷牙习惯,少吃甜食,饭后及时漱口等。
参考文献
[1]张志愿.口腔科学.第9版[M].北京.人民卫生出版社.2018.49-50.
[2]周学东.牙体牙髓病学.第5版[M].北京.人民卫生出版社.2020.28-29.
展开
