概述
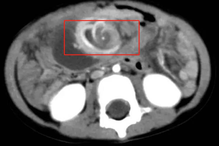
肠扭转的患者在CT检查上可能会出现旋涡征,是肠扭转在CT上的特异性征象,表现为扭曲肠襻及肠系膜周围见放射状分布充血血管。
CT表现
对于出现肠扭转的患者,会表现为突发持续性腹部剧痛,阵发性加重,脐周疼痛,可放射至腰背部,还会出现频繁呕吐。肠扭转的患者腹部CT扫描,可以看到肠梗阻的表现,还可见典型的系膜扭转表现。漩涡征是肠扭转在CT上的特异性征象,表现为扭曲肠襻及肠系膜周围见放射状分布充血血管影像,扭转肠管的输入段及输出段向肠管扭转处锥形变细。

治疗
对于出现肠扭转的患者,早期可先试用非手术疗法,如胃肠减压、手法复位等。小肠扭转的诊断明确后,虽未出现腹膜炎的症状或体征,也应积极准备手术治疗,早期手术可以降低死亡率,还可减少大量小肠坏死切除后导致短肠综合征的发生率。
参考文献
[1]刘文志,常庆勇.普通外科学 高级医师进阶.第1版[M].北京.中国协和医科大学出版社.2016.239-240.
[2](美)阿杰伊·K·辛格著孙宏亮主译.胃肠影像学精要[M].北京.中国科学技术出版社.2018.114.
展开
