概述
蛛网膜下腔出血是各种病因引起颅内和椎管内血管突然破裂,血液流至蛛网膜下腔的统称。
蛛网膜下腔出血可通过头颅CT等检查明确诊断,并积极治疗。
CT表现
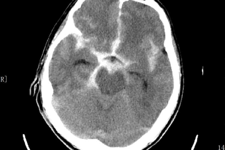
蛛网膜下腔出血后48小时内,非强化高分辨率CT可发现≥95%的蛛网膜下腔出血。第一周内CT显示最清晰,显示脑沟与脑池密度增高。
颈内动脉瘤破裂出血以环池最多,大脑中动脉瘤破裂血液积聚病侧外侧裂,大脑前动脉瘤出血集中在前纵裂池。基底动脉瘤破裂后,血液主要聚积于脚间池与环池附近。

病因
蛛网膜下腔出血的病因复杂,最常见的是脑动脉瘤性蛛网膜下腔出血,占50%-85%。
其次脑血管畸形、脑底异常血管网病、夹层动脉瘤、血管炎、颅内静脉系统血栓形成、结缔组织病、血液病、颅内肿瘤、抗凝治疗并发症等也是蛛网膜下腔出血的致病因素。
部分患者原因不明,如原发性中脑周围出血。
参考文献
[1]陈孝平,汪建平,赵继宗.外科学.第9版[M].北京.人民卫生出版社.2018.209.
[2]唐学杰.急诊医学 高级医师进阶.第1版[M].北京.中国协和医科大学出版社.2016.368.
展开
