概述
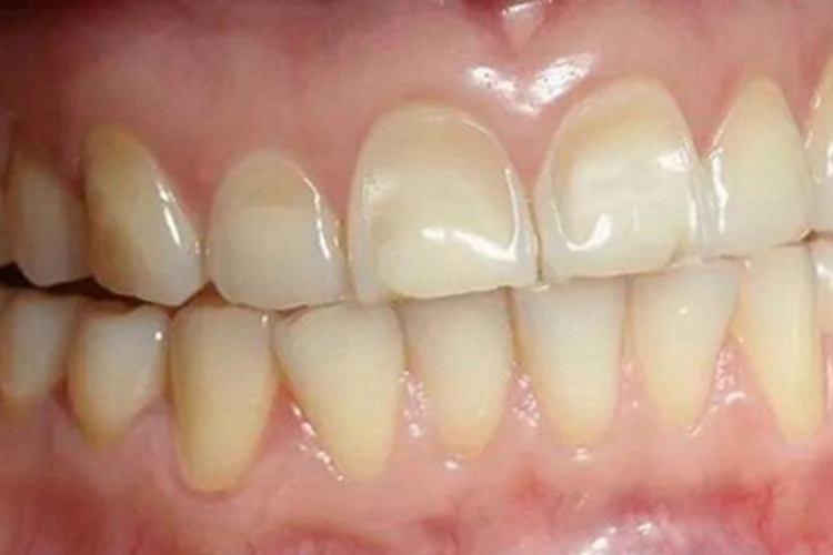
酸蚀症患者在临床上可表现为部分骨质缺失,牙面有不规则凹陷。
该症状是腐蚀牙釉质所致,患者可在医生指导下进行一般治疗、药物治疗及手术治疗。
症状
酸蚀症患者在临床上可表现为部分骨质缺失,牙面有不规则凹陷,部分患者两颗门牙病损较明显,表面凹凸不平,微微发黄。

病因
该症状考虑是长期大量饮用酸性饮料,腐蚀牙釉质所致。
治疗
患者可在医生指导下进行一般治疗、药物治疗及手术治疗。
一般治疗:患者应尽量避免与酸接触。患有全身疾病,如胃反酸等,需要进行全身疾病对症治疗。长期磨牙患者需要戴牙垫减轻磨损;
药物治疗:患者可以遵医嘱在牙齿涂抹氟制剂保护牙釉质,避免酸对牙齿的腐蚀;
手术治疗:患者可做牙冠套在患牙,起到保护牙齿避免接触酸性腐蚀的作用。对于牙齿损伤合并牙髓炎的患者,应清除牙髓腔内的坏死组织,接着在消毒后重新填充牙髓腔,以解除病变组织对牙神经的压迫刺激,并且防止牙齿的情况进一步恶化,最后在牙齿表面带上牙冠,保护患牙。
参考文献
[1]张志愿.口腔科学.第9版[M].北京.人民卫生出版社.2018.49.
[2]张震康,俞光岩,徐韬.实用口腔科学.第4版[M].北京.人民卫生出版社.2016.39-40.
展开
