概述
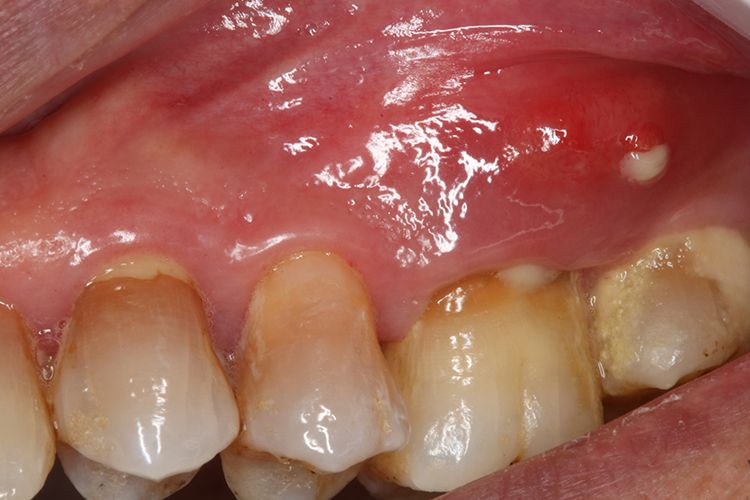
牙龈瘘管早期表现为牙床出现一个经常溢脓的小瘘孔,瘘孔可封闭,表现为一个脓包,常伴牙胀痛、牙松动。
慢性牙髓炎、根尖周炎、牙周袋脓肿是引发牙龈瘘管的常见原因。
症状
牙龈瘘管多发生于患牙根尖部或根分歧部的唇、颊侧牙龈表面,偶见远离患牙的瘘管,可以发生在患牙根尖区附近的面颊、鼻旁或颊部皮肤上。牙周袋脓肿引起的牙龈瘘管多在靠近牙颈部的牙龈位置。牙龈瘘管早期常表现为牙床上的小瘘孔,瘘孔有时封闭,有时溢脓,当根尖周脓液压力增大时,闭合的瘘孔开放,此时患牙通常出现胀痛、松动感,待脓液流出即症状缓解。

病因
慢性牙髓炎、根尖周炎是造成牙龈瘘管的常见原因,牙周袋脓肿也可以引起牙龈瘘管。
诊断
该病症通过临床表现与患者自觉症状即可作出初步诊断,在牙龈瘘管口插入牙胶尖,再拍摄X线片显示诊断丝,可诊断出具体病变部位。
治疗
牙龈瘘管需要对患牙进行根管治疗,经过开髓、根管预备、根管消毒及严密的根管充填,最后充填牙洞。面颊部皮肤的牙龈瘘管,在患牙根管治疗后2周,如瘘管不闭合仍流脓时应行瘘管搔刮切除术,必要时行患牙根尖切除术。
参考文献
[1]金蕴文,谢郭祥,孟庆雨.口齿疾病一百问答[M].山西科学教育出版社,1986:18-19.
[2]孙正.口腔科[M].中国医药科技出版社,2014:450.
[3]李巧影,陈晶,刘攀.医学临床诊疗技术丛书·口腔科疾病临床诊疗技术[M].中国医药科技出版社,2017:117.
[4]陈长青,毕春英等.牙痛及其原发病防治知识[M].金盾出版社,2002:69.
[5]杨群超,张金廷.老年口腔病防治与保健[M].河北科学技术出版社,2007.04,29.
展开


