概述
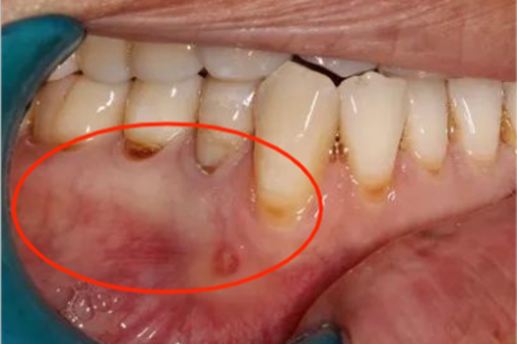
急性坏死性龈口炎患者牙龈处形成脓肿,周围充血,伴有明显疼痛,是由梭杆菌和螺旋体感染所致,需遵医嘱治疗。
症状
急性坏死性龈口炎多见于儿童,早期牙龈边缘及龈乳头红肿,以后迅速形成脓肿,有波动感,周围黏膜充血,患处牙龈疼痛明显,口内有特殊的坏死性口臭。

病因
急性坏死性龈口炎是由梭杆菌和螺旋体感染引起,发生在牙龈边缘的急性坏死性口腔疾病。正常情况下,梭杆菌和螺旋体为口内共生菌,一般不感染致病,但在过度疲劳、营养不良引起菌群失调时可引发口腔黏膜病损。
治疗
急性坏死性龈口炎需尽早给予抗感染治疗,如早期可刮去坏死组织及大块牙石,使用过氧化氢溶液冲洗;再使用甲硝唑片、维生素C片等药物,还可选择银花、甘草等中药煎水漱口。具体应遵医嘱。
参考文献
[1]樊明文主编.中华医学百科全书 2 临床医学 口腔医学[M].北京:中国协和医科大学出版社,2018.225-226.
[2]张佐主编.口腔临床实践指导[M].阳光出版社,2017.226-227.
展开
