概述
成骨细胞是能够转变为骨组织的细胞,破骨细胞是能够将骨组织破坏的细胞,当骨头发生损伤骨折时,骨细胞开始发挥功能。
形态
成骨细胞和破骨细胞属于两者不同的细胞类型,两者的形态分别如下:
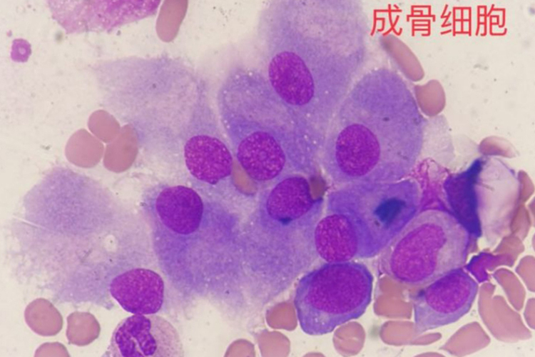
成骨细胞
该细胞较大,直径20-40μm,呈长椭圆形或不规则形,有单个或多个簇状结构出现。胞核呈圆形,偏于一侧,可见1-3个核仁;胞质丰富,呈暗蓝色或蓝色,不均匀,离核较远处有一淡染区。

破骨细胞
该细胞直径20-100μm,胞核有数个至数十个,呈圆形或椭圆形,多有核仁,染色质均匀细致;胞质丰富,呈灰蓝色或浅蓝色,含粗大暗红色和紫红色的溶酶体颗粒。

功能
成骨细胞和破骨细胞的形态存在差异,因此两者的功能也不同,具体如下:
成骨细胞
成骨细胞最主要的功能是合成类骨质和非胶原蛋白,形成骨基质,参与破骨细胞性骨吸收的调控,维持骨的代谢平衡,成骨细胞是骨形成过程中重要功能细胞。
破骨细胞
破骨细胞在骨生长过程中发挥了重要作用,骨骼成熟后,为了维持体内骨量的稳定,破骨细胞参与了骨重建的过程。但在许多病理状态下,由于破骨细胞数目增加,会造成过多的骨量丢失甚至是结构的破坏。
参考文献
[1]王青主编.实用血细胞检验图谱[M].上海:上海科学技术出版社.2019.40.
[2]徐又佳.铁代谢与骨质疏松[M].江苏:苏州大学出版社.2016.116.
[3]孟迅吾,周学瀛主编.协和代谢性骨病学[M].北京:中国协和医科大学出版社.2021.19.
展开
