概述
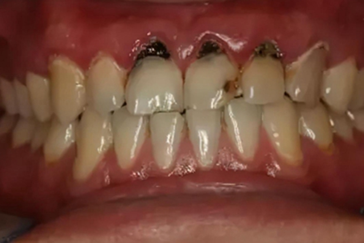
酸蚀症可表现为患者牙齿根部有黑斑,嵌在牙根处,形状不规则。该病是因长期接触酸造成的,需遵医嘱进行相应治疗。
症状
酸蚀症可表现为患者牙齿根部有黑斑,嵌在牙根处,形状不规则。患牙还伴有部分牙骨质缺损,局部发黄。

病因
酸蚀症是因长期接触酸造成的牙体硬组织脱矿性疾病,可能与职业有关,比如制酸、汽车电池、电镀材料等行业的从业人员,也可能与长期大量饮用可乐、果汁等酸性饮料有关。
治疗
酸蚀症症状较轻时可进行脱敏治疗,可遵医嘱使用高浓度的氟制剂保护牙釉质,预防酸蚀症加重。牙缺损部位可采用充填、修复治疗,出现牙髓根尖周病变者需先行根管治疗,然后进行充填、修复。
患者日常应避免进食酸性食物,如碳酸饮料、果汁等。职业原因导致的酸蚀症,建议换一份工作。日常注意观察牙齿腐蚀的范围有无进一步加重,是否有牙齿敏感、牙髓疼痛的情况。
参考文献
[1]张志愿.口腔科学.第9版[M].北京.人民卫生出版社.2018.49.
[2]张震康,俞光岩,徐韬.实用口腔科学.第4版[M].北京.人民卫生出版社.2016.39-40.
展开
