概述
慢性牙周炎可表现为患者下牙龈表面出现萎缩,牙齿的间隙变大,自觉咀嚼无力,可能是由牙菌斑积聚等引起,需遵医嘱治疗。
症状
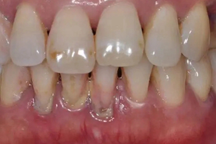
慢性牙周炎的黏膜损害可发生在患者下牙龈,临床可表现为局部黏膜表面出现萎缩,牙龈向牙根方向进行生长,牙齿之间的间隙变大,部分患者还可出现牙齿松动,自觉咀嚼无力或有疼痛感,严重时牙齿可伴有移位等异常。

病因
慢性牙周炎是多因素疾病,可能是由牙菌斑积聚、牙齿不良位置和牙周组织免疫功能低下等原因引起的。细菌和食物残渣附着在牙齿表面,逐渐形成牙菌斑,如果牙菌斑没有及时清除,细菌会引发牙龈炎,进而演变为慢性牙周炎,可导致局部黏膜肿胀,逐渐出现萎缩。
治疗
慢性牙周炎确诊后,需要清除局部致病因素,可先进行刮治,清除深入牙周袋中的细菌和牙石,然后进行根面平整。在某些情况下,特别是当缝隙变宽严重时,可能需要进行牙周外科手术,如牙周瓣手术、植骨手术等。此外也需要定期进行专业洁牙,可以去除牙齿表面的牙菌斑和牙石,有助于减轻炎症,防止缝隙变宽的进展。治疗操作应由专业人士进行。
参考文献
[1]马国武主编.口腔执业助理医师资格考试应试指导;2019版[M].北京.中国协和医科大学出版社.2018.12.348-349.
[2]陈彬,冯晔,韦明霞,陈颉,林浩等编.现代口腔科诊疗精要[M].哈尔滨.黑龙江科学技术出版社.2019.05.88-91.
展开
