概述
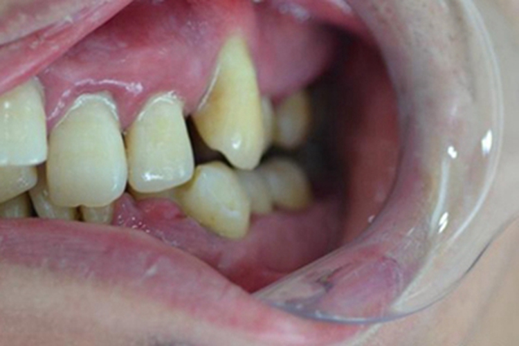
慢性龈炎可表现为患者左上牙龈明显红肿,牙龈边缘增厚,牙龈颜色较正常牙龈偏暗红色。
该病可能与龈缘牙面上堆积的牙菌斑、牙结石、食物嵌塞等有关,需遵医嘱进行相应治疗。
症状
慢性龈炎可表现为患者左上牙龈明显红肿,牙龈边缘增厚,牙龈颜色较正常牙龈偏暗红色,同时龈沟液增多,伴有明显的疼痛症状。

病因
慢性龈炎可能与龈缘附近牙面上堆积的牙菌斑、牙结石、食物嵌塞、不良修复体等原因有关。
治疗
对于慢性龈炎左上牙龈红肿的情况,患者需要在医生指导下采取手术治疗、药物治疗、一般治疗。
手术治疗:需要通过洁治术彻底清除菌斑和牙石,彻底纠正不良修复体等刺激因素。
药物治疗:患者炎症较重者可遵医嘱配合局部药物治疗,包括过氧化氢溶液、复方氯己定含漱液等。
一般治疗:日常注意保持口腔卫生,养成良好的生活习惯,早晚刷牙,饭后十分钟内用清水漱口,必要时使用牙线或冲牙器深度清洁。
参考文献
[1]张志愿.口腔科学.第9版[M].北京.人民卫生出版社.2018.63-64.
[2]孟焕新.牙周病学.第5版[M].北京.人民卫生出版社.2020.131-134.
展开
