概述
痛风可以导致手部肿,表现为关节处泛红、肿胀,甚至有不规则凸起,可能与感染和酗酒等诱发因素有关,应及时治疗。
症状
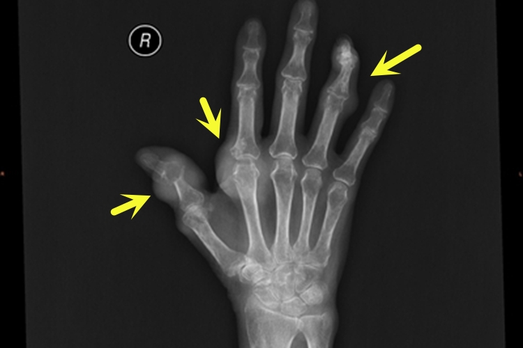
痛风患者手部会出现红肿、疼痛,有不规则状凸起,影像学显示患者手上部分关节处出现团状白雾样的物质,多为痛风引起的痛风石。


病因
痛风病因复杂,可能与遗传、某些疾病有关,还可能与过劳、精神紧张、外伤、感染和酗酒等诱发因素有关。
治疗
痛风急性发作期可遵医嘱使用秋水仙碱,以及非甾体类抗炎药进行治疗,同时应卧床休息,抬高患肢;间歇期和慢性期可服用碳酸氢钠碱化尿液,抑制尿酸合成药可选用别嘌醇。同时患者在饮食上应注意,少吃高嘌呤食物。
参考文献
[1]张丽芹.现代临床皮肤性病治疗实践[M].长春.吉林科学技术出版社.2018.277-278.
[2]王辰,王建安.内科学下册.第3版[M].北京.人民卫生出版社.2015.1227-1229.
展开
