概述
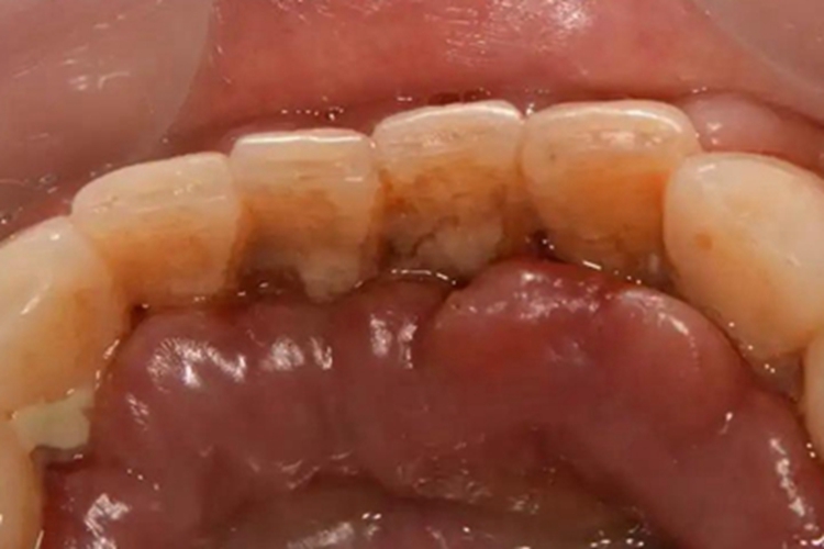
急性白血病侵犯口腔,可导致牙龈高度增生、肿胀,而且容易破溃出血。
该病主要是由于骨髓正常的造血功能受到抑制引起的,可遵医嘱进行治疗。
症状
急性白血病侵犯口腔,可导致牙龈高度增生、肿胀,牙龈组织较之前隆起明显,逐渐覆盖牙齿,而且容易破溃出血,是急性白血病重要的体征之一。

病因
该病主要是由于骨髓正常的造血功能受到抑制,患者外周血中中性粒细胞缺乏,自身的免疫力下降,从而容易出现细菌的继发感染,导致牙龈组织出现肿胀。
治疗
针对急性白血病牙龈肿了的症状,患者需要尽早就医,遵医嘱治疗。一般可以配合医生进行化学治疗、放疗或使用靶向药物,常用的药物有注射用硫酸长春新碱、注射用盐酸多柔比星、甲磺酸伊马替尼胶囊等;还可以在专业人员操作下,采取干细胞移植治疗。
在治疗期间患者应注意休息,保证充足睡眠,避免熬夜,劳逸结合。同时应加强营养支持,进食高蛋白、高维生素食物,以增强机体免疫力。
参考文献
[1]葛均波,徐永健,王辰.内科学.第9版[M].北京.人民卫生出版社.2018.569-576.
展开
