概述
桑毛虫皮炎可在小腿出现隆起的丘疹,大小不等,伴有结痂、红斑等皮损,由于桑毛虫的毒毛刺入或接触人体引起,可遵医嘱进行治疗。
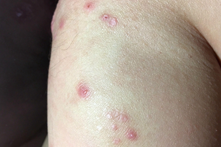
症状
桑毛虫皮炎累及小腿部位时,可见局部丘疹,轻微隆起于周围皮肤,大小不等,表面可见结痂,周围伴有圆形或椭圆形红斑,可有瘙痒感。

病因
桑毛虫体上有大量微小的毒毛,毒毛刺入或接触人体可引起桑毛虫皮炎。毒毛内含淡黄色弱碱性有毒液体,毒液主要为组胺酶等成分,毒毛对人体的致病性就是通过毒毛内含有的毒液对皮肤的原发性刺激作用。
治疗
桑毛虫皮炎可采用橡皮膏或透明胶纸反复粘贴,粘去毒毛,遵医嘱局部外搽炉甘石洗剂消炎止痒。皮疹广泛瘙痒剧烈者给予抗组胺药或清热解毒的中草药。避免用热水烫洗。出现全身症状者可酌情使用抗组胺药,如马来酸氯苯那敏片等进行治疗。
参考文献
[1]段义农,王中全,方强,郑葵阳.现代寄生虫病学.第2版[M].北京.人民军医出版社.2015.795-797.
[2]肖国仕,高积慧主编;陈露霞,孔金华,邓新春副主编.皮肤病诊疗手册[M].郑州:河南科学技术出版社,2019.03.
展开
