概述
静脉血栓分为浅静脉血栓、深静脉血栓,及肺栓塞,常见的表现为局部皮肤色素沉着,皮温升高,伴有压痛,活动后肿胀、疼痛明显等。
症状
静脉血栓可分为浅静脉血栓、深静脉血栓,以及肺栓塞等类型,具体表现如下:
浅静脉血栓:浅静脉血栓发病时,可沿静脉走向部位出现疼痛、红肿,皮温升高,伴有条索样或结节状压痛区。

深静脉血栓:主要表现为患肢明显水肿、疼痛,活动后加重,抬高患肢可好转,同时轻症皮肤颜色多正常,或轻度淤血,重症多呈青紫色、黑色等,伴有脱皮,也可能出现皮肤发白,甚至出现溃烂等。

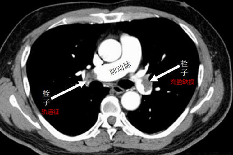
肺栓塞:一般无皮肤表面症状,主要出现呼吸困难、气促、胸痛等自觉症状,或者出现咯血、晕厥、发热等临床表现。

病因
静脉血管的病因较复杂,临床认为主要由静脉壁损伤、静脉血流淤滞、血液高凝状态等引起,常见的原发性因素包括抗凝血酶缺乏、先天性异常纤维蛋白原血症、蛋白质缺乏、基因突变等。继发性因素包括肥胖、吸烟、创伤、骨折、手术、口服避孕药、糖尿病、脑卒中、长途航空旅行等。
治疗
临床治疗静脉血栓时,需要根据具体情况,制定合理的治疗计划。
浅静脉血栓:多采取保守支持疗法,首先去除促发病因,同时注意休息、抬高患肢、热敷,或者给予双氯芬酸钠进行止痛。由于本病易复发,建议遵医嘱穿合适的减压弹力袜,平时严密观察临床表现,必要时应使用低分子肝素抗凝,或者手术治疗,以防深静脉血栓形成。
深静脉血栓:主要治疗目的是预防肺栓塞,特别是病程早期,要尽量卧床,抬高患肢超过心脏水平,直至水肿及压痛消失,同时给予肝素进行抗凝、溶栓治疗以及手术。
肺栓塞:在临床针对急性肺栓塞的处理原则是早期诊断,早期干预,根据病人的危险度分层选择合适的治疗方案和治疗疗程,包括严密监护呼吸、心率等变化,给予吸氧纠正低氧血症,同时给予抗凝、溶栓等治疗,必要时给予手术碎解、抽吸、摘除血栓。
参考文献
[1]杨立明,李秀霞,汤之明主编.内科学[M].武汉:华中科技大学出版社,2019,98-104.328-330.
[2]崔巍主编.医学检验科诊断常规[M].北京:中国医药科技出版社,2020.267.
