概述
扁桃体术通常是指扁桃体摘除术,术后大概需要半个月左右的时间恢复。
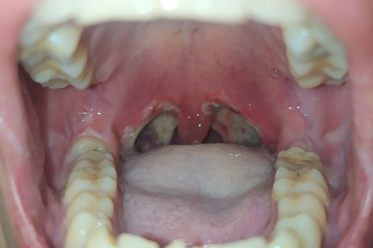
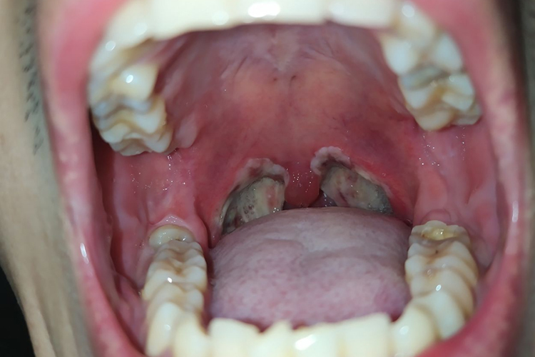
扁桃体摘除术后恢复过程中会有白膜的形成与脱落,需要注意饮食及生活方式。
恢复过程
扁桃体摘除术后6小时伤口即有白膜形成,术后第二天扁桃体窝已完全覆盖白膜,术后10天内逐渐脱落。大概半个月可以完全脱落,伤口逐渐恢复。




注意事项
在做扁桃体摘除术后,患者日常需注意一些事项,包括避免出血、术后的饮食和活动等。
避免出血
手术当日患者需要少说话,轻咳嗽,以免引起出血。患者应轻轻吐出口中分泌物,切勿咽下,以便及时发现出血。
如有出血,应安静卧床休息,切勿紧张,可用冰袋冷敷颈部止血。
若出血较多应及时与医师联系,根据医嘱给予肌注止血药或进行其他的止血措施。
术后饮食
术后无出血,局麻者术后4-6小时、全麻者术后6小时可以进冷流质饮食一般1-3天;3-7天进半流质饮食;7-14天进普食。需注意术后2周内,避免进食干硬、大块、过热、酸辣刺激性食物,以免擦伤白膜,引起出血。
术后活动
手术后第1天即可下床活动,做张口、伸舌运动,并可轻轻说话,以促进局部血液循环,加快愈合,并多进食,以增强体力。
参考文献
[1]王静,胡红,王从容.临床护理健康教育流程[M].湖北科学技术出版社.2018.07:308.
[2]于卫华.护理常规下[M].中国科学技术大学出版社.2017.05:1082-1083.
展开
