概述
胃造影检查可有明显的龛影,部分形状不规则,边缘不齐,管腔狭窄,管壁狭窄,还有黏膜皱襞消失等情况,造影更准确判定病变位置。
表现
胃造影检查不同的胃部疾病时表现不同,如胃溃疡、十二指肠溃疡以及胃肠道肿瘤等,其造影表现有所区别,具体内容分别如下:
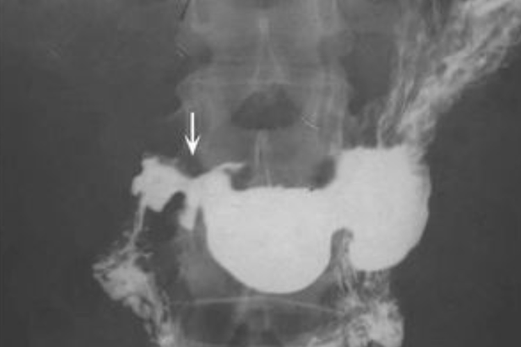
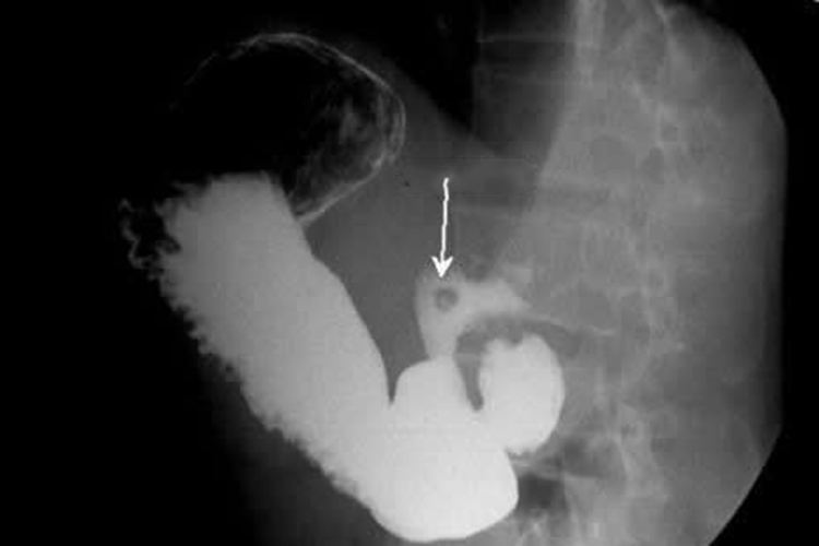
胃溃疡:其直接征象是龛影呈白色钡点或钡斑,周围黏膜皱襞呈星芒状向龛影口部集中。

十二指肠溃疡:90%位于球部,龛影是十二指肠溃疡的直接征象,由于十二指肠球腔小壁薄,发生溃疡后容易变形,表现为“山”字形、花瓣形或管状等,间接X线征象有激惹现象,表现为钡剂不在球部停留,迅速通过。


胃肠道肿瘤:局部充盈缺损,形状不规则,管腔狭窄,管壁狭窄,龛影,边缘不整,位于管腔轮廓内,黏膜皱襞破坏,中断,消失。


优点
胃造影成像清晰,对比度、清晰度较好,随摄片条件的调整一般不受密度和厚度的影响,更准确看到病变;可作为客观记录留存,便于复查时对照和会诊。
参考文献
[1]陈晓密,张敏,陶雯主编;高胜改,王彦风,包玉荣副主编;王轶编委,健康评估[M],广东,世界图书出版广东有限公司,2020.240.
[2]杜庆伟,陈瑄瑄主编;杨兴益,黄跃芬,王春桃等副主编,健康评估 第2版[M],北京,中国医药科技出版社,2019.277-278.
展开
