概述
慢性牙周炎可累及牙龈,表现为牙龈乳头萎缩、消失,可使牙根暴露在外。慢性牙周炎是多因素疾病,可遵医嘱进行洁治以及药物治疗。
症状
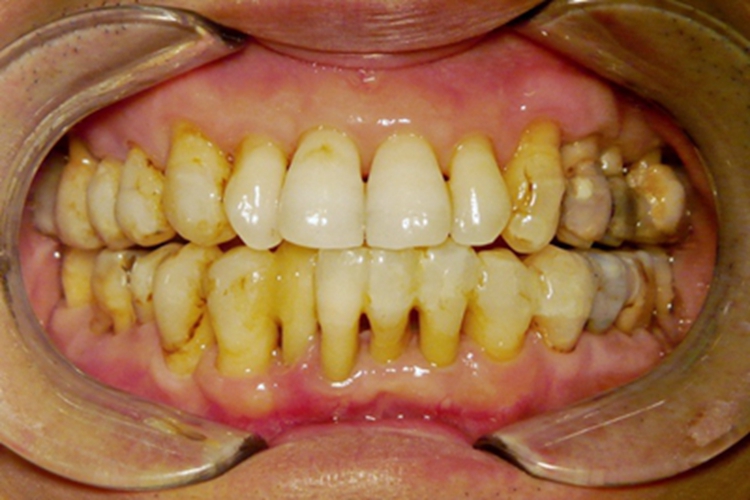
慢性牙周炎累及牙龈时,可表现为不同程度的牙龈乳头萎缩、消失,表面肿胀,黏膜颜色变浅,同时牙齿根部暴露在外,可出现牙齿松动,咀嚼无力或疼痛。

病因
慢性牙周炎是多因素疾病,其中微生物是引发疾病的始动因子。堆积在牙龈结合部的牙面和龈沟内的菌斑微生物及其产物引发牙龈的炎症和肿胀。但单有微生物尚不足以引起病损,宿主的易感性也是基本要素。
治疗
慢性牙周炎确诊后,需要清除局部致病因素,方法包括控制菌斑,彻底清除牙石,如洁治和刮治术等,以及遵医嘱局部使用药物治疗,如应用复方氯己定含漱液消炎和收敛,部分患者还需要通过牙周手术、建立平衡的颌关系等措施恢复健康。
参考文献
[1]马国武主编.口腔执业助理医师资格考试应试指导;2019版[M].北京.中国协和医科大学出版社.2018.12.348-349.
[2]陈彬,冯晔,韦明霞,陈颉,林浩等编.现代口腔科诊疗精要[M].哈尔滨.黑龙江科学技术出版社.2019.05.88-91.
展开
