概述
多系统萎缩十字征指MRI见脑桥基底部呈十字形高信号,还可有直立性低血压和排尿、排便异常等,多由遗传、代谢等多种因素引起。
症状
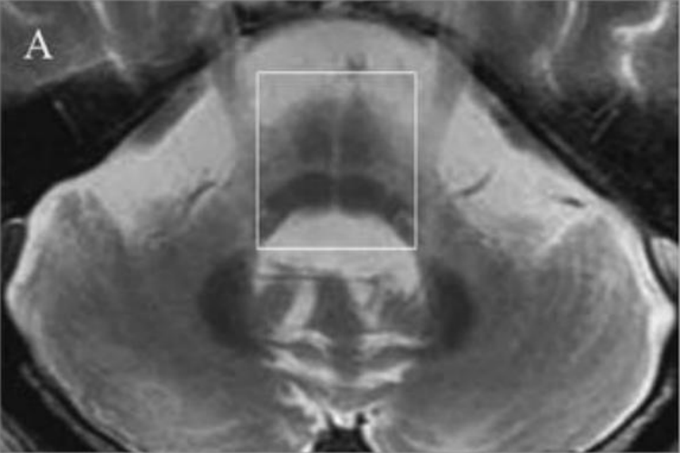
多系统萎缩病变累及脑桥、橄榄、小脑及自主神经系统,MRI显示壳核、小脑中脚、脑桥或小脑出现萎缩,第四脑室脑桥小脑脚池扩大;高场强(1.5T以上)MRI T2相可见壳核背外侧缘条带状弧形高信号、脑桥基底部“十字征”和小脑中脚高信号。患者可出现直立性低血压和排尿、排便异常,还可表现为帕金森症状(行动缓慢、动作僵硬等)和小脑性共济失调(动作笨拙、易失去平衡等)。

病因
脑萎缩是出现多系统萎缩的基础,可能与遗传、代谢、营养、内分泌、中毒、缺血、缺氧及伴发疾病等有关。低血脂水平可与多系统萎缩的发病相关,多系统萎缩患者的血清甘油三酯(TC)、低密度脂蛋白(LDL-C)、载脂蛋白A、载脂蛋白B等水平较正常人降低。
治疗
多系统萎缩表现为运动障碍的患者,在未出现反应低下时可以遵医嘱使用左旋多巴,也可给予单胺氧化酶抑制药或多巴胺受体激动药,不过疗效有限。对自主神经功能障碍出现直立性低血压的患者,可以使用α1-肾上腺受体激动剂盐酸米多君治疗,同时建议患者高盐饮食、穿弹力袜、平卧时将头位抬高。
参考文献
[1]陈海波,武冬冬,等.帕金森病基层诊疗指南(2019年)[J].中华全科医师杂志,2020,19(1):5-17.10.
[2] 高智玉, 刁加桂, 杨团峰,等. 老年患者脑萎缩的影响因素研究[J]. 中国全科医学, 2018, 21(9):1036-1041.1037,1039.
[3]洪晓军.神经内科学 高级医师进阶.第1版[M].北京.中国协和医科大学出版社.2016.375,377.
展开
