概述
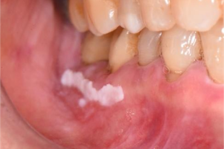
口腔白斑病可累及牙龈,出现白色斑块,质地柔软,无明显的自觉症状。与理化刺激因素有关,遵医嘱使用维A酸乳膏治疗。
症状
口腔白斑病可表现为牙龈处有稍高出黏膜表面的白色斑块,损害形态多样,触摸表面光滑,质地柔软,周围黏膜正常,患者无明显的自觉症状,偶尔有粗糙感或木涩感。

病因
口腔白斑病主要与理化刺激因素有关,如吸烟、乙醇等。其他诱发因素包括食用刺激性食物,如咀嚼槟榔,咬颊、牙齿的残根、残冠刺伤黏膜等。此外,也可能与感染念珠菌、人乳头瘤病毒、锌等微量元素缺乏等有关。
治疗
口腔白斑病患者可遵医嘱使用异维A酸软胶囊。对于有癌变倾向的患者,建议每3-6周复查一次,必要时采取外科手术治疗。
参考文献
[1]李艳.实用皮肤科疾病诊断治疗[M].北京.科学技术文献出版社.2018.317.
[2]张秀果,崔怡主编.五官科疾病观察与护理技能[M].北京.中国医药科技出版社.2019.252.
展开
