概述
根尖周炎可见受累部位出现肿胀,严重时可形成脓包,患者可有疼痛感。
本病多是细菌感染导致,应尽可能消除炎症,保存患牙。
症状
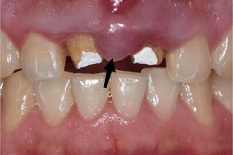
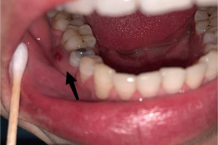
根尖周炎可引起局部肿胀,黏膜颜色潮红,质地较硬,严重时可出现隆起的脓包,局部有波动感,破溃后可有黄白色脓液流出,患者可有疼痛感。


病因
根尖周炎最常见的病因是细菌感染,常继发于龋齿、牙髓炎等情况。此外局部创伤(如跌倒、碰撞、意外事故)、长期咬合关系不正常、根管治疗时药物剂量过大、封药时间过长等都可引发根尖周炎。
治疗
对于根尖周炎的治疗,应尽可能消除炎症,尽量保存患牙,恢复患者的咀嚼功能。对于局部形成脓肿、脓疱等情况,需要由医生操作,进行切开引流处理。对于患牙需进行根管治疗,并用消毒剂进行冲洗,可遵医嘱搭配抗生素等药物缓解炎症。对于无法保留的患牙,可视情况进行拔除。
参考文献
[1]张志愿.口腔科学.第9版[M].北京.人民卫生出版社.2018.56-58.
[2]周学东.牙体牙髓病学.第5版[M].北京.人民卫生出版社.2020.179-186.
[3]樊明文主编.中华医学百科全书2 临床医学 口腔医学[M].北京:中国协和医科大学出版社,2018.41-43.
展开
