概述
乳突位于鳞部后下方,前下与鼓部融合,呈一锥形突起。乳突外侧有枕肌及耳后肌附着,外下方有胸锁乳突肌、头夹肌等附着。
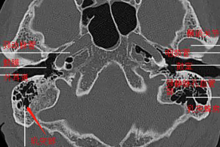
解剖位置
乳突又称乳突部,位于鳞部的后下方,呈锥形突起,上方与鳞部以线为界,前下与鼓部融合形成鼓乳裂,可分为内、外两面及上、后两缘。其外侧面粗糙,在外侧面道上棘后方,外耳道后壁向上延伸与颞线相交所成之三角形区域,称为道上三角区。后缘处的乳突孔,贯穿骨内外,有乳突导血管通过此孔,使颅外静脉与乙状窦沟通。

周围组织
乳突是多个肌肉的附着点,有重要的生理作用。在乳突外侧,附着枕肌和耳后肌,在乳突的外下方,附着胸锁乳突肌、头夹肌以及头最长肌。
参考文献
[1]廖建春,夏寅,戴培东主编.耳鼻咽喉头颈外科临床解剖学[M].青岛.山东科学技术出版社.2020.29.
[2]庄奇新,李明华主编.侧颅底影像学[M].上海.上海科学技术出版社.2018.17.
展开
