概述
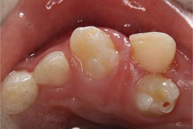
多生牙可见牙齿出现畸形表现,新生的牙齿形状各异,可引起牙列拥挤。
该病病因不清,与发育缺陷、遗传有关,已经萌出者应及时拔除。
症状
多生牙可见牙齿存在形态变异,即畸形,新生的牙形状不一,可呈圆锥形、结节形等,表面光滑,颜色与正常牙齿无异,常可造成牙列拥挤、牙间隙大、牙移位等症状。


病因
多生牙是胚胎时期由于各种因素的影响,使得颌面部生长发育的某一阶段出现异常,也就是来自牙胚发育的起源和增殖阶段的异常所致。本病的具体病因不清,与发育缺陷、遗传有关,属于常见的先天性牙颌发育畸形。
治疗
对于已萌出的多生牙应及时拔除,拔除需由专业医生操作。如多生牙埋伏在颌骨内,应追踪观察。如未对恒牙产生影响,且无任何病理变化时,可不做处理。
如果埋伏多生牙位于年轻恒牙根尖附近,拔除时可能会伤及恒牙根部,则可暂不处理,待年轻恒牙牙根发育完成后再拔除。如果多生牙造成正常牙的牙根吸收或牙根弯曲畸形、移位,而多生牙形态类似正常牙、牙根有足够长度者,可考虑保留多生牙,拔除正常牙。
参考文献
[1]赵志河.口腔正畸学.第7版[M].北京.人民卫生出版社.2020.30.
[2]林久祥,赵铱民主编.中华医学百科全书.临床医学.口腔医学.3[M].北京.中国协和医科大学出版社.2019.103.
展开
