概述
白血病的症状主要有正常造血功能受到抑制和白血病细胞增殖浸润等表现。
白血病属于血液系统的恶性肿瘤,是由骨髓造血功能异常所致,应尽快就医治疗。
症状
正常骨髓造血功能受到抑制
贫血:白血病患者贫血程度与白血病的病程有关,随着病情的加重,贫血患者可能伴有头晕、头痛、面色苍白、全身乏力等症状。
发热:半数白血病患者以发热为早期表现,以持续性的低热为主,但是也可见有39-40℃的高热,伴有畏寒、出汗等症状。
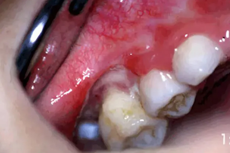
出血:出血可发生在全身各个部位,以皮肤的瘀点、瘀斑、紫癜为主要表现,还可能出现牙龈出血、月经过多,同时部分人群可能出现眼底出血、颅内出血等严重出血的症状。

白血病细胞增殖浸润
淋巴结和肝脾肿大:淋巴结肿大以急性淋巴细胞白血病多见,T细胞型急性淋巴细胞白血病以纵隔淋巴结肿大多见。同时,白血病患者的肝脾肿大多为轻度或中度,除慢性粒细胞白血病急性变外,巨脾罕见。

骨骼和关节:白血病患者常伴有胸骨下段局部压痛,还可出现关节、骨骼疼痛,尤以儿童多见,严重时可发生骨髓坏死。
眼部:急性粒细胞白血病患者的眼眶周围可出现绿色的粒细胞肉瘤,可伴有眼球突出、复视或失明等表现。

口腔和皮肤:白血病患者可能出现牙龈增生和肿胀、口腔溃疡,皮肤伴有质地坚硬且隆起的蓝灰色斑丘疹。


中枢神经系统:轻症者可出现头痛、头晕,重者有行走困难、呕吐、颈项强直,甚至抽搐、昏迷等
病因
白血病主要是由于遗传学异常、理化因素刺激、病原微生物感染等原因导致白血病细胞克隆性增生,骨髓造血功能异常,骨髓正常造血功能受抑制。
治疗
对于白血病的治疗需要去除致病因素,并根据自身情况,采取放疗、化疗等多种治疗方法相结合的方式,以有效控制白血病的发展。另外,在条件允许的情况下,可采取造血干细胞移植。
参考文献
[1]葛均波,徐永健,王辰.内科学.第9版[M].北京.人民卫生出版社.2018.568-582.
展开
