概述
肩关节脱位主要由于暴力导致,可出现肩部疼痛、肿胀、活动障碍等症状,借助X线可了解肱骨头脱位类型,一般分为前脱位和后脱位。
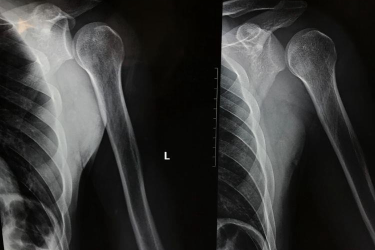
症状
肩关节脱位患者常有上肢外展外旋或后伸着地受伤史,可出现肩部疼痛、肿胀、活动障碍,以及有以健手托住病侧前臂、头向病侧倾斜的特殊姿势。通常X线检查可确诊,常见肱骨头前脱位,偶见肱骨头后脱位。肱骨头前脱位可见X线片骨影向下移位,位于肩胛盂下方,称为盂下脱位,此外还可向上移位,位于喙突下方或锁骨下方等位置。肱骨头后脱位一般表现为肱骨头在肩胛盂后方。


病因
创伤是肩关节脱位的主要原因,多为间接暴力所致。当跌倒或受到撞击时上肢处于外展外旋位,暴力经过肱骨传导到肩关节,使肱骨头突破关节囊而发生脱位。若跌倒时上肢处于后伸位,或肱骨后上方直接撞击在硬物上,也可发生肩关节脱位。
治疗
肩关节前脱位应首选手法复位加外固定治疗。肩关节后脱位往往不能顺利通过手法复位,可行切开复位加外固定方法治疗。手法复位方法较多,包括Hippocrates法、牵引推拿法、拔伸托入法等,原则是将肱骨头沿原移位的方向返回。治疗期间还应遵医嘱做好康复锻炼。
参考文献
[1]朱定川.实用临床骨科疾病诊疗学[M].沈阳.沈阳出版社.2020.141.
[2]徐克,龚启勇,韩萍.医学影像学[M].第8版.北京.人民卫生出版社.2018.300.
[3]陈孝平,汪建平,赵继宗.外科学[M].第9版.北京.人民卫生出版社.2018.632.
展开
