概述
患者髌骨出现骨质增生时,可能会引起局部明显肿胀、持续性隐痛,同时影像检查也会出现改变,建议积极对症治疗,缓解不适。
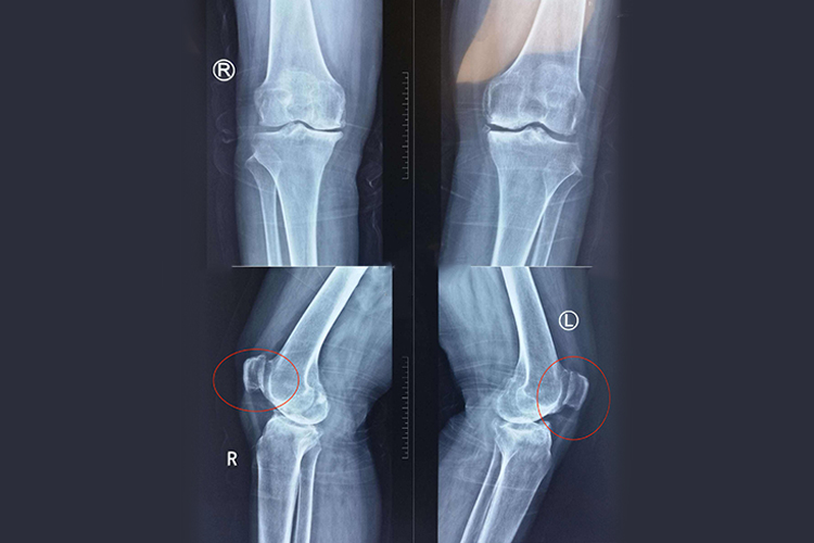
症状
髌骨位于膝关节前,出现骨质增生时,可能引起局部组织明显异常,同时进行影像学检查时,可以看到局部密度增高、变形等。
自觉症状:起病缓慢者膝关节疼痛不严重,长时间行走、剧烈运动或久坐起立开始走时膝关节疼痛僵硬,严重时,关节酸痛胀痛。合并风湿病者局部会出现关节红肿、功能受限、伸屈活动有弹响声,部分可见关节积液,局部有明显肿胀、压缩现象。



影像学特征:局部会出现骨质密度增高,骨小梁增粗、增多、密集,骨皮质增厚,骨髓腔变窄或消失,伴有或不伴有骨骼的增大变形。


病因
髌骨骨质增生的因素各有不同,具体可以分为生理性与病理性,如中老年人骨关节炎引起的骨质增生是因骨骼退行性改变而引起,即可称为生理性因素,而创伤性骨关节炎、骨折后的骨痂形成可以划分为病理性因素。
治疗
患者髌骨出现骨质增生时,建议积极进行对症治疗,如疼痛较为明显的患者可以在医生指导下使用解热镇痛类药物,如对乙酰氨基酚片,自觉麻木者可以选用B族维生素类药物,必要时可以进行手术治疗,缓解不适。
参考文献
[1]张光武.骨质疏松和骨质增生诊断与治疗.第4版.2018版[M].郑州.河南科学技术出版社.2018.08.15.
[2]王艳.肌动学[M].北京.中国中医药出版社.2020.06.217.
[3]彭力,裴久国,吴绪平.膝关节疾病针刀整体松解治疗与康复[M].北京.中国医药科技出版社.2020.01.86.
展开
