概述
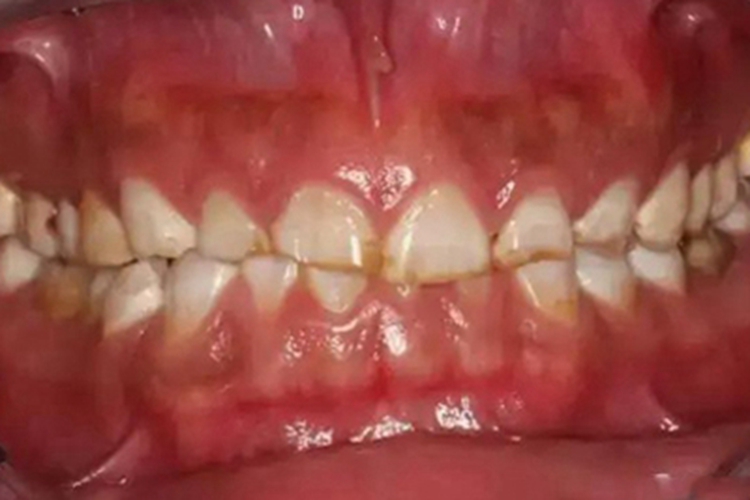
酸蚀症发生后,可见牙齿骨质被腐蚀破坏,局部缺损,部分牙齿前半段几乎消失而变短。
该症是牙齿长期受到非细菌性酸的作用而发生脱矿,表面缺损的表现,治疗需遵医嘱。
症状
酸蚀症发生后,可见患者骨质被腐蚀破坏,局部缺损,部分牙齿前半段几乎消失而变短,缺损边缘处发黄褐色。患者外在形象因此受影响,容易出现自卑、抑郁等负面情绪。

病因
酸蚀症牙齿缺损变短,是牙齿长期受到非细菌性酸的作用而发生脱矿,表面缺损的表现。患者有喜食酸性饮料、食物,长期接触酸雾或胃病反酸的历史。
治疗
对于酸蚀症牙齿缺损变短情况,患者需要明确具体诱发原因,并进行针对性治疗,如避免接触接触酸雾、矫正喜酸食习惯等。同时患者需要进行积极治疗,如充填修复治疗等,从而恢复牙齿外形与正常功能。注意上述治疗均需遵医嘱进行。
在日常生活中,患者需要注意防护,可以用含氟牙膏刷牙,建议定期到医院检查,确保牙齿健康。
参考文献
[1]张志愿.口腔科学.第9版[M].北京.人民卫生出版社.2018.49.
[2]张震康,俞光岩,徐韬.实用口腔科学.第4版[M].北京.人民卫生出版社.2016.39-40.
展开
