概述
脑梗患者会出现肢体麻木、感觉障碍、瘫痪等,可在进行CT、MRI后发现脑内变化。
脑梗可分为大动脉粥样硬化型、心源性栓塞型、小动脉闭塞型等多种类型。
症状
部分患者的脑梗发生比较突然,通常没有明显感觉便会出现昏厥、休克等表现,但也有部分患者会有四肢无力、麻木,以及感觉障碍、意识模糊等症状。可在进行影像学检查后在脑内有所发现,如CT、MRI等。脑梗根据病因可分为大动脉粥样硬化型、心源性栓塞型、小动脉闭塞型等多种所致,症状有所不同。
大动脉粥样硬化型脑梗:多发生在中老年,常在安静或睡眠中发病,部分会有肢体麻木、无力等表现,临床表现取决于梗死灶的大小和部位,以及侧支循环和血管变异。患者一般意识清楚,当发生基底动脉血栓或大面积脑梗死时,可出现意识障碍,甚至危及生命。
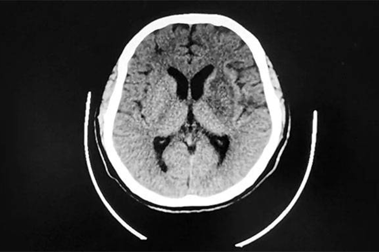
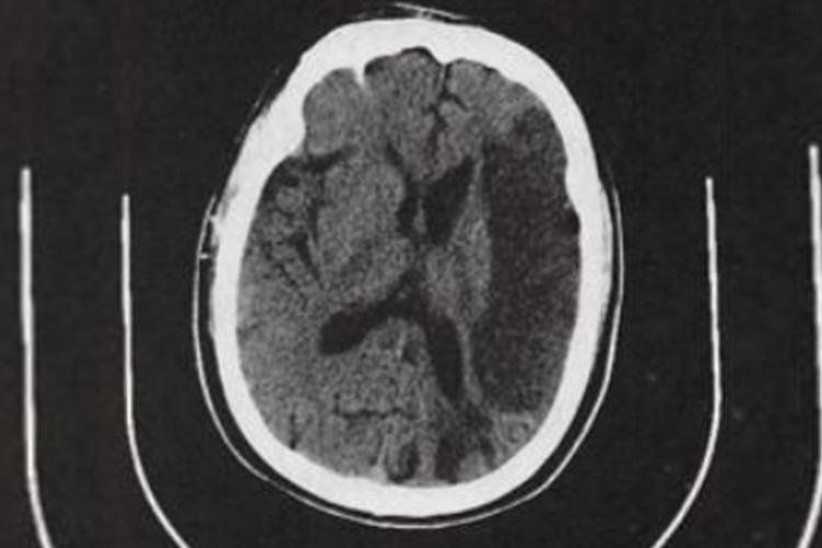
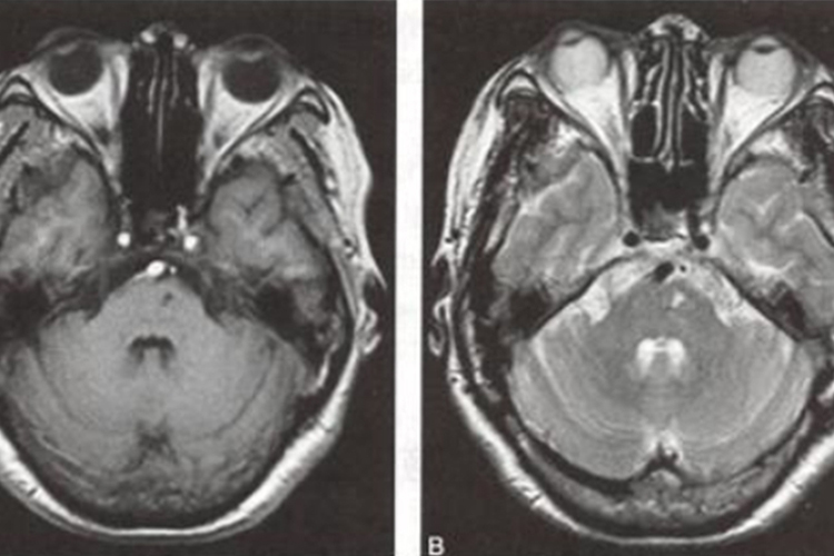
多数患者发病24小时后脑CT逐渐显示低密度梗死灶,发病后2-15日可见均匀片状或楔形的明显低密度灶。MRI可清晰显示早期缺血性梗死,梗死灶T1呈低信号、T2呈高信号。

心源性脑梗:患者会突然在活动中发病,无前驱症状,局灶性神经功能缺损体征在数秒至数分钟即达到高峰。临床神经功能缺损和脑实质影像学表现与大动脉粥样硬化型脑梗死基本相同。因大多数栓子阻塞大脑中动脉及分支,临床常表现为上肢瘫痪重,栓子移动可能会阻塞皮质分支而表现为单纯失语、单纯偏盲等。

小动脉闭塞型脑梗:又称腔隙性缺血性脑卒中,患者多有高血压病史,突然或逐渐起病,出现偏瘫或偏身感觉障碍等局灶症状,表现为麻木、烧灼、刺痛,以及吞咽障碍、构音障碍等,无头痛、颅内压增高和意识障碍等表现。通常为在进行MRI检查后,明确脑梗灶。

病因
脑梗又称为脑梗死,即缺血性脑卒中,通常由于各种脑血管病变所致脑部血液供应障碍,导致局部脑组织缺血、缺氧性坏死,进而使相应神经功能出现缺损。
治疗
脑梗的治疗可针对神经保护和改善脑血管循环的药物,如注射用尿激酶,严重者采用开颅手术。由于对于比较严重的患者可能生活无法自理,需要进行比较好的护理措施,提高患者生活质量。
参考文献
[1]贾建平,陈生弟.神经病学.第8版[M].北京.人民卫生出版社.2018,194-210.
[2]赵甜甜,杜娟娟,孟盈盈,王立丽,史家欣,陆璇.基于赋能理论的延续性护理对脑梗患者治疗效果的影响[J].海军医学杂志,2021,42(05):626-628.
