概述
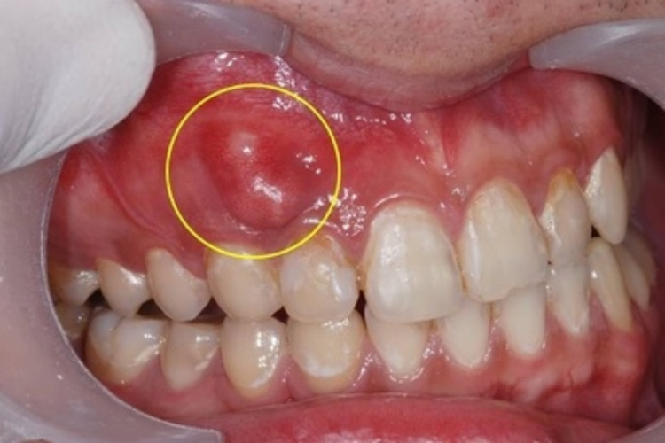
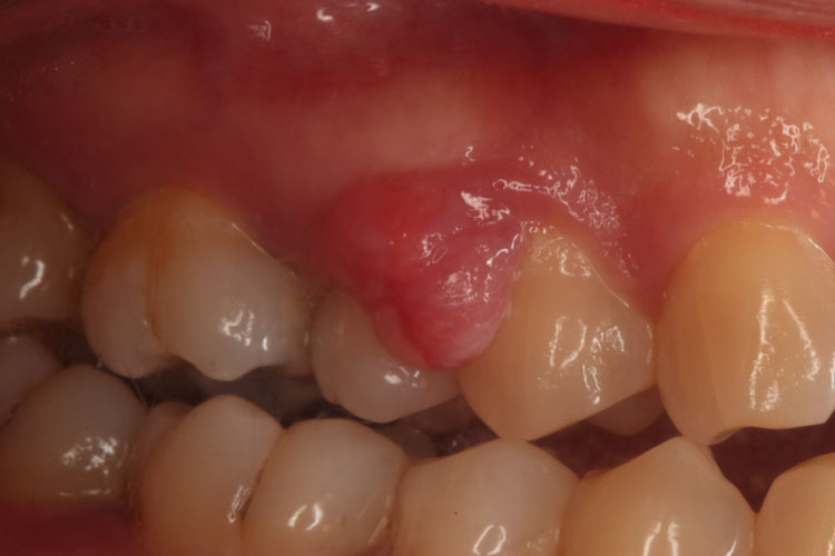
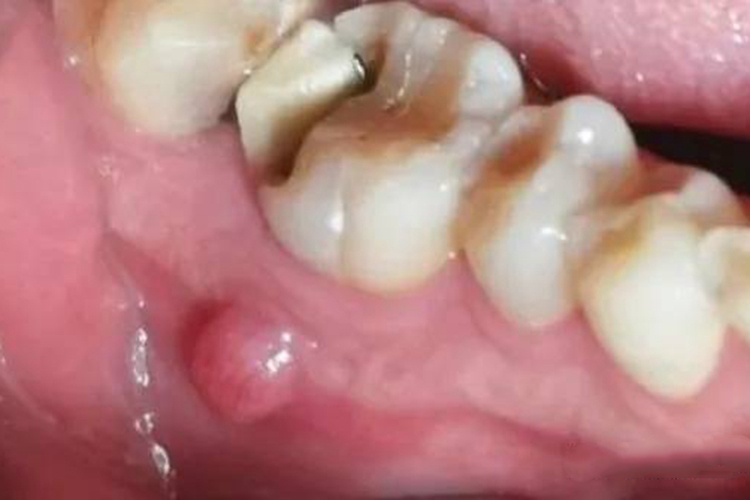
牙周长了一个小囊肿,其囊肿大小不等,由豌豆大至鸡蛋大,且患者有不同程度的疼痛感。
导致牙周长了一个小囊肿的常见原因有根尖周囊肿、牙龈瘤、根尖肉芽肿等,需就医治疗。
症状
不同情况导致的牙周长了一个小囊肿,其相应的症状也不同,具体如下:
根尖周囊肿:囊肿大小不等,由豌豆大至鸡蛋大。小囊肿不易被发现。囊肿发展较大时,根尖部牙龈呈半球形隆起,形状不规则,扪诊时有乒乓球感。

牙龈瘤:通常呈圆形、椭圆形,有时呈分叶状,看起来像囊肿,大小不一,从数毫米至1-2厘米。带蒂者,如息肉状,无蒂者,基底宽广。

根尖肉芽肿:本病主要为炎性症状,呈圆形异常增生,边界清晰,看起来像一个圆形囊肿,周围骨质正常或稍显致密,直径一般不超过1cm。

病因
牙周长了一个小囊肿的情况不同,则相应的根本病因也不同。
根尖周囊肿:可由慢性根尖肉芽肿或慢性根尖周脓肿等发展而来。通过增生的上皮团中心部分营养障碍,液化变性,渗透压增高吸引周围组织液,进而发展成囊肿。
牙龈瘤:一般认为由残根、牙石、不良修复体等局部因素引起,与机械性刺激和慢性炎症有关。
根尖肉芽肿:起因为牙髓的慢性感染,乃慢性根尖牙周膜炎进一步的发展所成。
治疗
发现牙周长了一个小囊肿的情况后,需要就医后采取针对性的治疗措施。
根尖周囊肿:治疗传统的方法是对患牙行根管治疗,配合根尖手术,将囊肿摘除。但现在不需根尖手术,单纯进行根管治疗,绝大多数根尖周囊肿也可被治愈。
牙龈瘤:患者需去除刺激因素,如菌斑、牙石和不良修复体,在消除继发的炎症后,手术切除。切口应在瘤体及蒂周围,凿去瘤体相应处的少量牙槽骨,并刮除该处的牙周膜,以免复发。
根尖肉芽肿:按照感染根管治疗法,除去感染来源,可采用根管治疗术或根髓塑化法。
参考文献
[1]王玮主编.现代实用口腔医学[M].昆明.云南科学技术出版社,2020.243-244.
[2]张志愿.口腔科学.第9版[M].北京.人民卫生出版社.2018.57-58.
[3]樊明文主编.中华医学百科全书 2 临床医学 口腔医学[M].北京.中国协和医科大学出版社.2018.48.
[4]徐国权等主编.口腔临床技术与临床实践[M].长春:吉林科学技术出版社,2019.108-109.
