概述
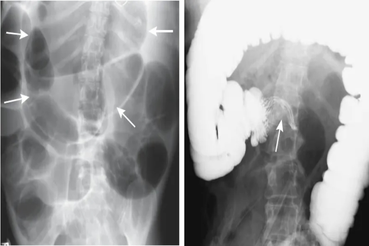
鸟嘴征是影像学上的一个征象,多是肠管围绕肠系膜扭转而引起。患者大多会有剧烈疼痛、恶心呕吐、腹胀等症状,应及时手术治疗。
症状
鸟嘴征多是因为肠扭转引起,导致扭转近段长肠管呈锥形逐渐变细,在靠近梗阻部位达到最细,呈现“鸟嘴”样改变。

病因
鸟嘴征多是由于肠扭转引起梗阻部位两端肠管呈渐进性狭窄,至梗阻部位完全梗阻,行检查时钡剂无法通过,而呈现逐渐缩窄的鸟嘴征。
治疗
对于发生肠扭转的患者,可先通过手法复位,如用手按摩腹部或是通过直肠镜插管排气的方式,使扭转自行复位。但如果发现肠扭转有出现肠绞窄、肠坏死的可能性时,应及时通过手术进行治疗。
参考文献
[1]田淇第,陈爱武,张其昌编.消化系统慢性病诊断与治疗[M].郑州.河南科学技术出版社,2021.01.148-150.
[2](美)阿杰伊·K·辛格著,孙宏亮主译.胃肠影像学精要[M].北京.中国科学技术出版社,2018.07.114.
[3]赵玉沛主编.中华医学百科全书 普通外科学[M].北京.中国协和医科大学出版社,2017.04.364.
展开
