概述
皮脂腺增生皮损可表现为小疙瘩,多为丘疹,稍高于皮面,多孤立分布不融合。其病因以皮脂腺发育异常为主,可选择冷冻及电刮等。
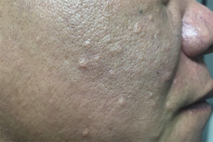
症状
皮脂腺增生是皮肤内皮脂腺增大所致的皮肤附属器错构瘤。临床表现为淡黄色或肤色丘疹,隆起于皮肤表面,看起来像小疙瘩,皮损中央可见脐状凹陷,多孤立分布不融合。

病因
皮脂腺增生是表皮、真皮和附属器发育异常,其病因常以皮脂腺发育异常为主。全基因组分析发现该病患者的体细胞基因位点HRAS及KRAS发生变异。
治疗
皮脂腺增生传统的治疗方法包括冷冻及电刮等,可以局部破坏整个腺体,但会遗留瘢痕或色素沉着等。
口服异维A酸可抑制皮脂腺的体积增生,部分患者治疗3个月皮损即完全清除,但多数患者停药后伴有复发。异维A酸联合化学剥脱方法可以较彻底地改善皮脂腺增生,同时缩短治疗周期,且降低异维A酸的不良反应。
CO2激光和光动力疗法可治疗面部皮损较多或存在美容需求的皮脂腺增生患者,疗效均较好。
需注意,上述治疗应谨遵医嘱。
参考文献
[1]饶朗,林尔艺,刘夏榕,等.皮脂腺增生38例皮肤镜特征分析[J].中国皮肤性病学杂志,2019,33(9):4.
[2]赵嘉惠,刘玲玲.老年性皮脂腺增生[J].临床皮肤科杂志.2021.10.05.
[3]方洪元,邢卫斌,张秉新,徐海环.实用皮肤性病手册.第1版[M].北京.人民卫生出版社.2016.846-847.
展开
