概述
不好看的牙齿情况较多,可因牙齿畸形、龋病、色素沉着导致牙齿形态不美观,出现牙齿拥挤、颜色改变、牙体损坏的情况。
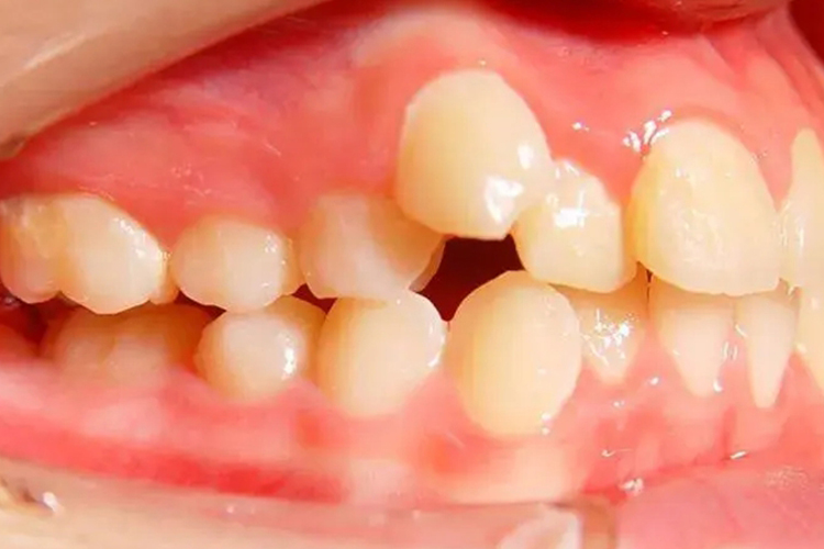
外观
引起不好看的牙齿的病因不同,其外观形态也不同,常见的有牙齿畸形、龋病、色素沉着。
牙齿畸形:牙齿畸形可出现牙齿排列不整齐、龅牙、地包天、牙齿颗数过多等情况,导致牙齿拥挤,牙齿呈前后交替状,外观形态不佳。

龋病:牙釉质、牙本质、牙骨质出现颜色、形态和质地的改变。早期可出现牙透明度降低、牙釉质表面呈白垩色改变;继而病变部位色素沉着,局部呈黄褐色或棕褐色,此时尚无牙体缺损。随着破坏的深入,牙体缺损形成龋洞,龋洞一旦形成则不能自行恢复。

色素沉着:长期吃颜色重的食物或吸烟、饮酒、喝咖啡,易导致牙齿表面特别是唇面有褐色或黑褐色着色,刷牙不能除去,牙齿的窝沟和表面粗糙处也易有着色。

危害
不好看的牙齿,除外观形态,还易对口腔健康及其他牙齿造成危害。
牙齿畸形:由于其排列不整齐,牙齿生长时会相互拥挤,使周围牙齿无法正常生长,刷牙时无法彻底清洁,易堆积细菌、牙结石等。
龋病:牙齿易损坏,使牙体出现缺损,症状较轻时,可出现局部色素沉淀,严重时可出现龋洞,损伤牙神经,出现疼痛的症状。
色素沉着:外因或内因导致的牙齿色素沉着,可导致牙齿颜色不好看,还易导致口腔卫生不佳,易加快牙菌斑、牙结石的增长。
治疗
不好看的牙齿应明确具体原因,遵医嘱进行针对性治疗。
牙齿畸形:出现牙齿畸形时,应及时就医矫正,如牙量较多,可拔除减少牙量,同时佩戴矫正器。
龋病:若龋病症状较轻,应注意口腔卫生,如已出现龋洞,应及时在医生操作下进行修补,若已出现剧烈疼痛,且龋洞较深,必要时可进行根管治疗。
色素沉着:出现牙齿色素沉着时,应注意口腔卫生,勤刷牙、漱口,定期进行龈上洁治治疗,可改善色素沉着的情况。
参考文献
[1]张志愿.口腔科学.第9版[M].北京.人民卫生出版社.2018.43.
[2]京医师协会组织编写.口腔科诊疗常规[M].中国医药科技出版社.2020.411.
[3]王玮主编.现代实用口腔医学[M].云南科技出版社.2020.138.
[4]康禄才,刘仕杰编著.全科医学[M].吉林科学技术出版社.2019.63.
