概述
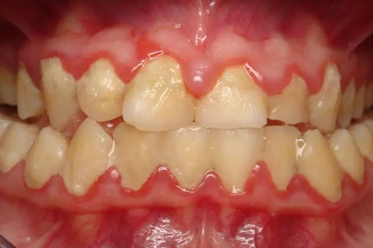
牙周炎是一种发生在牙周组织的慢性炎症,中度牙周炎的牙周袋≤6mm,附着丧失3-4mm,探诊可有出血。
症状
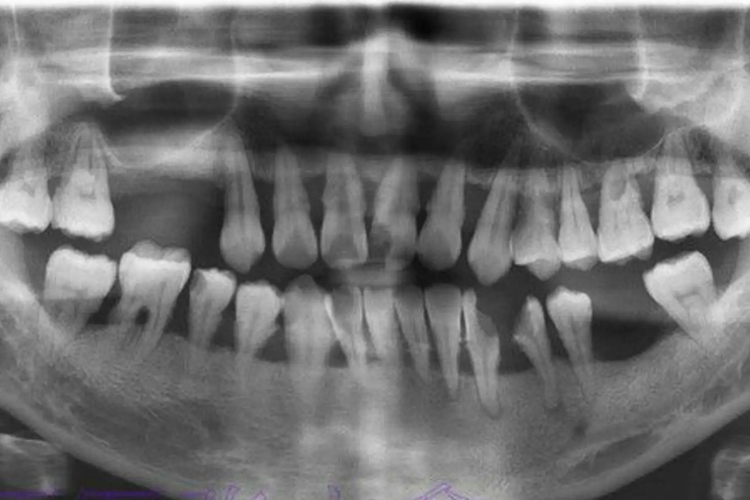
中度牙周炎牙周袋≤6mm,附着丧失3-4mm,X线片显示牙槽骨水平型或角型吸收超过根长的1/3,但不超过根长的1/2。牙齿可能有轻度松动,多根牙的根分叉区可能有轻度病变,牙龈有炎症和探诊出血,可见牙龈脓肿,也可有溢脓。


病因
中度牙周炎的病因主要为牙菌斑,会导致牙龈胶原破坏、结合上皮向根方增殖、牙周袋形成和牙槽骨吸收,逐渐演变为牙周炎。此外,牙周炎牙石、食物嵌塞、不良修复体等均为加重菌斑滞留的局部刺激因素。
治疗
中度牙周炎的治疗目标是彻底清除菌斑、牙石等病原刺激物,消除牙龈炎症,使牙周袋变浅,改善牙周附着水平,争取适当的牙周组织再生,并使疗效长期稳定地保持。
参考文献
[1]张志愿.口腔科学.第9版[M].北京.人民卫生出版社.2018.67-68.
[2]孟焕新.牙周病学.第5版[M].北京.人民卫生出版社.2020.147.
展开
