概述
扩张性心肌病即扩张型心肌病,超声可表现为心腔扩大明显,二尖瓣环和三尖瓣环增大,患者可出现气喘、乏力、心悸等症状。
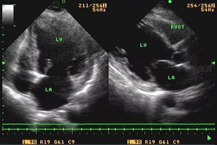
超声表现
扩张型心肌病超声可表现为四腔心图全心腔扩大,以左心为著。室间隔及左室后壁运动幅度普遍减低,呈弥漫性减弱,收缩期增厚率下降。室间隔左室壁的厚度较薄,或在正常范围。二尖瓣前后叶开放幅度明显减小,但射血分数斜率正常,无特异性心脏病的阳性发现。左室收缩功能减低,射血分数变小。

临床表现
扩张型心肌病起病及进展缓慢,症状轻重不一。主要表现为心脏增大、心力衰竭、心律失常、小动脉栓塞。患者先出现心脏增大,但起初无症状,可在劳累后出现气喘、乏力、心悸、咳嗽、胸闷等症状。体格检查可见心尖搏动弥散或抬举、心浊音界向左扩大、心率增快、肝脏增大、下肢水肿等。
参考文献
[1]DOUGLASS S.MOODIE主编;刘锦纷,孙彦隽主译.先天性心脏病临床治疗:从婴儿期到成年期[M].上海.上海世界图书出版有限公司.2017.07.70.
[2]王显鹤编.现代儿科疾病诊治与急症急救[M].北京.中国纺织出版社.2020.12.55-56.
展开
