概述
HIV口腔念珠菌感染,口腔黏膜会出现白色假膜或红斑,多伴有疼痛。
HIV口腔念珠菌感染,是因HIV造成机体抵抗力下降,念珠菌在口腔内大量繁殖所致。
症状
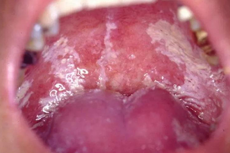
HIV口腔念珠菌感染,可出现在口腔黏膜的任何部位,呈乳白色绒状假膜,白色病变周围可见黏膜充血发红,且假膜附着于口腔黏膜表面,不容易擦除,用力擦除后可见出血糜烂面。

此外,还可表现为口腔黏膜上有弥散的红斑,在上腭、颊黏膜有红色斑块,伴有口角糜烂、口干、烧灼感等症状。
病因
感染HIV可导致患者机体免疫力低下、抵抗力差,极易受菌群感染,若长期使用抗生素,还会导致体内菌群失调,从而使口腔内白色念珠菌大量繁殖,发生口腔念珠菌感染。
治疗
HIV口腔念珠菌感染需遵医嘱在口腔病损局部应用甲紫溶液、洗必泰局部涂布,并配合应用制霉菌素、咪康唑、克霉唑等,同时还需加强饮食护理,进食高蛋白、高热量、高维生素、含有丰富微量元素的食物。口腔疼痛剧烈影响进食者,可予以利多卡因加生理盐水稀释后含漱,无法进食者需考虑静脉补充营养。
参考文献
[1]王佃亮,唐志辉,危岩主编,口腔科医师处方[M].北京.中国协和医科大学出版社,2019.07,66-68.
[2]杨海银,邵丹,徐霞.艾滋病并发口腔念珠菌感染病人的护理[J].全科护理,2017,15(14):1737-1738.
展开
