概述
酸蚀症的牙齿可发生牙体实质破坏,表现为有一列牙齿缺损,是由于酸性环境导致牙釉质溶解而引起,需进行充填治疗。
症状
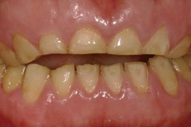
酸蚀症的牙齿可发生牙体实质破坏,表现为有一列牙齿缺损,呈刀切状,咬合时靠近前部的牙齿无法对合。

病因
酸蚀症主要是由于口腔中的酸性环境导致牙齿表面的牙釉质溶解而引起的。当牙齿暴露在酸性环境中时,牙釉质的矽酸化合物会与酸发生反应,形成溶解产物,并破坏牙釉质的微结构。久而久之,牙釉质会发生脱矿、软化和溶解,最终导致牙齿表面出现一列缺损。
治疗
酸蚀症导致的牙齿一列缺损,可以在牙医指导下通过充填治疗来修复。在充填治疗中,牙医会首先清除缺损部分,并清理齿釉质上的酸蚀病灶。然后牙医会使用一种牙齿充填材料,通常是树脂材料,填充到缺损部分,以恢复牙齿的外形和功能。若牙齿损坏较重,可能需要进一步的修复治疗,如牙冠或根管治疗。
参考文献
[1]张志愿.口腔科学.第9版[M].北京.人民卫生出版社.2018.49.
[2]张震康,俞光岩,徐韬.实用口腔科学.第4版[M].北京.人民卫生出版社.2016.39-40.
展开
