概述
小孩子膝盖内侧骨头突出可能是正常骨性突出、X型腿或骨软骨瘤等,症状因人而异。
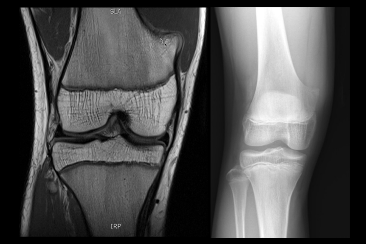
小孩子膝盖内侧骨头突出者可通过体格检查、X线等检查明确诊断,以便于后续治疗。
症状
小孩子膝盖内侧骨头突出可能是正常骨性突出、X型腿、骨软骨瘤等原因所致,患者可无自觉症状或出现不同程度异常。
正常骨性突出:小孩子膝关节由股骨下端、胫骨上端和髌骨构成,膝盖内侧本就有胫骨内侧髁、股骨内侧髁等骨性结构,可表现出膝盖内侧骨头突出。
X型腿:又称为膝外翻,小孩可有患侧膝关节周围压痛、膝盖内侧骨头突出等,双侧膝外翻者步态蹒跚,行走时双膝内侧互碰,单侧畸形者则跛行、步态异常、易跌倒。平卧位两膝并拢时,两内踝显著分开。两踝间距离长度表示膝外翻的程度。严重膝外翻导致股四头肌力线外移,Q角增大,髌骨易出现向外脱位。

骨软骨瘤:小孩膝盖处有骨软骨瘤时,膝关节周围可出现生长缓慢、无痛性、质硬的包块,表现为小孩子膝盖内侧骨头突出。部分患者剧烈活动时或疲劳活动后有患部疼痛、酸胀不适。较大或较浅部位的包块对外观有一定影响,包块长时间对周围软组织产生摩擦、压迫,可引发滑囊炎而出现疼痛感。

病因
小孩子膝盖内侧骨头突出可能是机体过于消瘦所致,骨性突出相较体型正常人群更为明显;X型腿所致膝盖内侧骨头突出,一般与佝偻病、骨骺损伤、骨髓炎等疾病有关;而骨软骨瘤则具有一定遗传性。
治疗
小孩子膝盖内侧骨头突出时,若明确为正常骨性突出,一般无需特殊治疗,继续观察即可。若是X型腿、骨软骨瘤等疾病所致,则需根据个体情况采取相应措施。
X型腿:3岁以下的小孩一般不需治疗,生理性X型腿可在发育中自行矫正。5岁左右患儿可采用手法矫正、夹板矫正或足弓支持垫、矫形鞋等进行治疗。10岁以上严重X型腿或经非手术治疗效果不佳者,需用手术矫正畸形。
骨软骨瘤:肿瘤造成局部疼痛、功能障碍或严重影响外观、怀疑有恶变倾向等骨软骨瘤患者,可通过手术切除肿瘤组织。
参考文献
[1]丁文龙,刘学政.系统解剖学.第9版[M].北京.人民卫生出版社.2018.29.49.52.
[2]徐展望,何伟主编.全国中医药行业高等教育“十三五”规划教材 中医骨病学 供中医学骨伤方向等专业用 第10版[M].北京:中国中医药出版社,2018.142.212-214.
[3]沈尚模主编.骨科疾病临床诊疗思维[M].昆明市:云南科学技术出版社,2020.544-545.
