概述
出现中龋时,可见到牙齿有龋洞形成,牙齿表面发黄褐色、黑褐色,是由于细菌产生的酸腐蚀牙齿组织所致,需进行充填治疗。
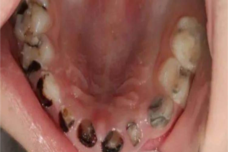
症状
出现中龋时,可见到牙齿有龋洞形成,大牙有不规则牙齿缺损,牙齿表面发黄褐色、黑褐色,看着像是黑斑。在进食冷热或酸甜食物时,可有疼痛感,刺激去除后疼痛感可以消退。

病因
中龋主要由于细菌产生的酸腐蚀牙齿组织所致。细菌会形成黏附于牙齿表面的菌斑,当摄入含糖食物后,这些细菌会分解糖分,产生酸性代谢产物,而这些酸攻击牙齿的硬组织。长时间的酸腐蚀,会溶解牙釉质,形成牙齿表面的洞。另外,酸性环境会改变牙齿的矿化状态,使牙齿表面变得粗糙,并且在这些粗糙的表面上容易沉积色素,导致牙齿出现黑斑。
治疗
对于中龋牙齿的洞和黑斑,常见的治疗方法是充填治疗。首先牙医会清除龋坏组织,将洞口清理干净,然后用一种牙齿填充材料填补洞口,以恢复牙齿的正常形态和功能。填充治疗可以修复牙齿的结构,防止进一步的损害,同时还能改善牙齿的美观和咀嚼功能。
参考文献
[1]张志愿.口腔科学(第9版)[M].北京:人民卫生出版社,2018:43-45,58-60.
[2]周学东.牙体牙髓病学(第5版)[M].北京:人民卫生出版社,2020:24-27.
展开
