概述
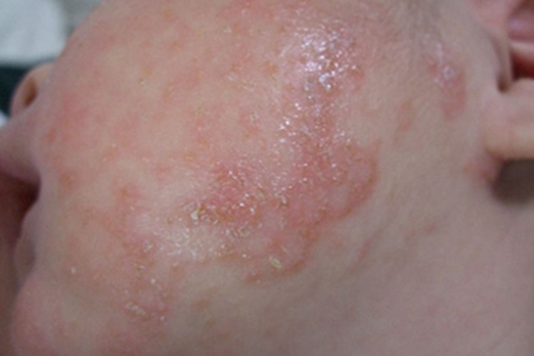
湿疹累及面部时,局部皮肤出现苔藓样改变,皮肤表面粗糙、干燥覆有鳞屑,可出现脱皮。
该病的发生可能与各种内、外部因素相互作用有关,需遵医嘱使用药物进行治疗。
症状
湿疹可分为急性湿疹、亚急性湿疹、慢性湿疹,均可发生在面部,但具体症状存在一定的差异。
急性湿疹:表现为红斑基础上的针尖至粟粒大小丘疹、丘疱疹,严重时可出现小水疱,常融合成片,境界不清楚,常因搔抓形成糜烂面,有明显浆液性渗出。皮损可逐渐干涸并结痂,表面干燥、粗糙并覆有鳞屑,可出现脱皮现象。

亚急性湿疹:表现为红肿及渗出减轻,但仍有丘疹及少量丘疱疹,皮损呈暗红色、淡红色,有少许鳞屑及轻度浸润,并出现不同程度的脱皮。

慢性湿疹:表现为患部皮肤浸润性暗红斑上有丘疹、抓痕及鳞屑,局部皮肤肥厚、表面粗糙,有不同程度的苔藓样变、色素沉着或色素减退,常伴有脱皮症状。

病因
湿疹的病因尚不明确,可能与慢性感染病灶、内分泌及代谢改变、血液循环障碍、神经精神因素、遗传因素等内部因素有关,也可能由食物、吸入物、生活环境、动物毛皮、各种化学物质等外部因素诱发或加重。
治疗
湿疹患者皮损无渗出或渗出不多时,可在局部使用醋酸泼尼松乳膏、复方醋酸地塞米松乳膏等糖皮质激素类药物,渗出较多时可使用硼酸溶液、乳酸依沙吖啶溶液等进行局部冷湿敷,待渗出减少后再选用糖皮质激素霜剂,与油剂交替使用。需注意,以上治疗均需遵医嘱进行。
参考文献
[1]张学军,郑捷.皮肤性病学.第9版[M].北京.人民卫生出版社.2018.109.
[2]方洪元,邢卫斌,张秉新,徐海环.实用皮肤性病手册.第1版[M].北京.人民卫生出版社.2016.258.
展开
