概述
正常肺和肺癌的CT表现具有明显区别,正常肺CT表现为质地均匀的低密度影,而部分肺癌CT可表现为放射状结节影。
CT表现
肺部CT可了解肺内某些组织结构及有无异常改变,正常肺和肺癌的CT表现有所不同。
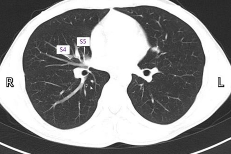
正常肺
两肺野内含气而呈极低密度影,可见由中心向外围走行的肺血管分支,由粗渐细,上下走行或斜行的血管则表现为圆形或椭圆形的断面影。叶间裂可清楚显示为高密度线状影;肺段的基本形态为尖端指向肺门的锥体状;肺小叶呈圆锥形。

肺癌
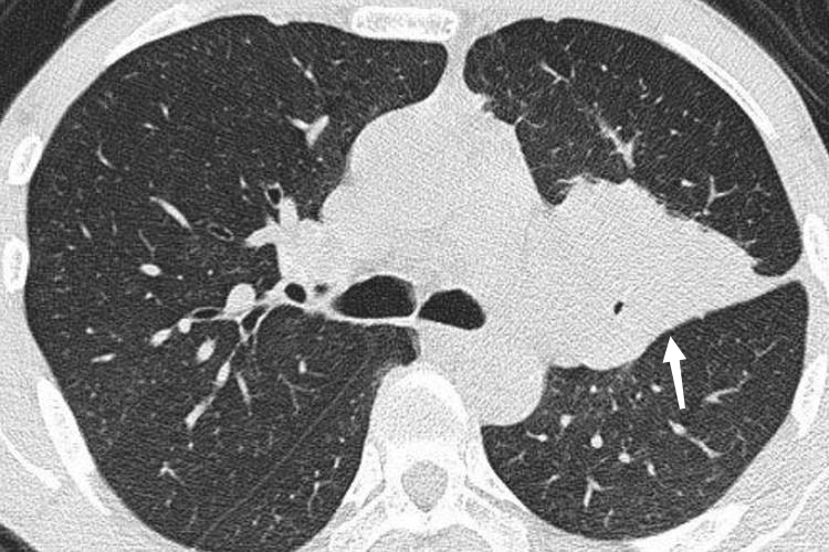
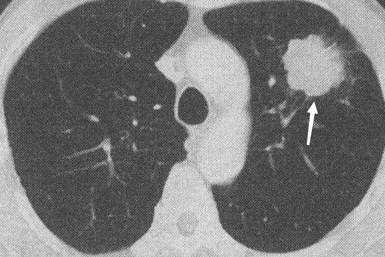
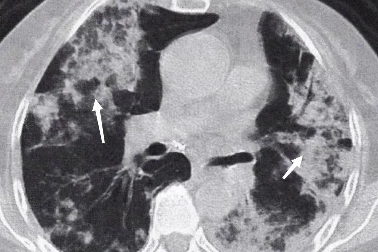
肺癌可分为中央型、周围型、弥漫型,具体CT表现有所不同。
中央型:肺部CT可清晰显示支气管壁的不规则增厚、管腔狭窄或腔内结节等改变。

周围型:周围型肺癌CT可表现为磨玻璃结节或实性结节。

弥漫型:CT可见两肺弥漫分布的结节影,可伴有肺门、纵隔淋巴结增大。病变融合成大片肺炎实变影,其内可见“空气支气管征”,但其走行僵硬,呈“枯树枝样”改变。

治疗
对于出现肺癌CT表现的患者,建议及时完善相关检查,以确定肺癌的分期。若为早期肺癌,建议及时进行手术切除,以减少癌症扩散机率。若为晚期肺癌,建议在手术治疗的基础上,进行放疗和化疗,以延长患者的生存期。
参考文献
[1]王倩.CT图像中肺部疾病的计算机辅助诊断方法研究[M].武汉.华中科技大学出版社.2016.16-17.
[2]张春霞.肿瘤内科学高级医师进阶.第1版[M].北京.中国协和医科大学出版社.2016.387.
展开
