概述
胸透的全称是胸部X线透视,是检查心、肺、纵隔疾病最常用的方法。
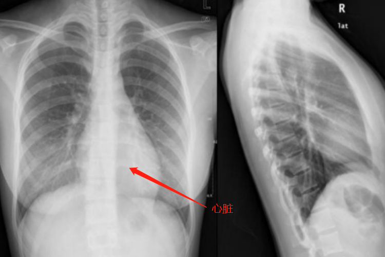
胸透图片由黑、白两种颜色组成,且密度不同代表的意义也不同。
看胸透
正常胸透图片是由黑、白两种颜色组成,通过黑、白颜色分布来进行观察。如分布在两边好大一片黑色,犹如一扇窗户的位置为肺,由于它能让X线透过,所以在胸片上呈现出黑色。在两肺之间夹杂着一大片白色,此处为心脏,医学上把这一带叫作纵隔,其中有心脏、大血管、气管等。由于它们密度大,致使X线无法透过,或是透过的X线较少,因此在胸片上呈现出白色。

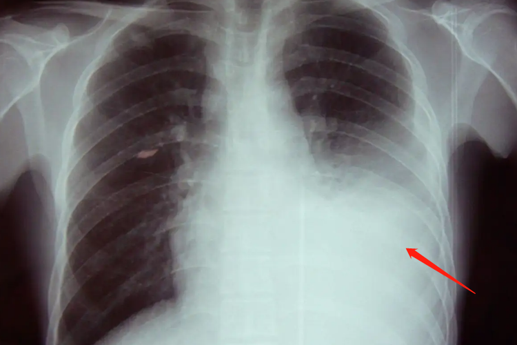
但多是黑、白跌倒则预示疾病,如该黑的地方变白了,或是该白的地方变黑了,这就是异常。前者常见的有炎症、结核、肿瘤、胸腔积液等,后者有肺气肿、气胸等。

注意事项
胸透图片需要医生看后,并出判断结果。此外,病人进入透视室后,应尽量脱掉上身的外衣,可穿一件棉毛衫或衬衫。应该除去一切可以造成阴影的物品,如敷贴的膏药、胶布、项链,以及布袋里的塑料套面手册、钱包等,以免造成医生诊断困难。妇女的发辫也应盘在头上,以免造成误诊。
参考文献
[1]韩萍,于春水.医学影像诊断学.第4版[M].北京.人民卫生出版社.2017.177.
[2]徐克,龚启勇,韩萍.医学影像学.第8版[M].北京.人民卫生出版社.2018.98.
展开
