概述
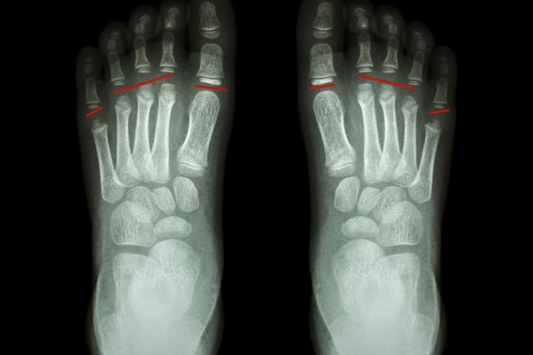
儿童足部骨骺在X线片上主要表现为骨骺线,未闭合时,X线可表现为较宽的横行透光带,闭合后可残留一条致密线。
表现
骨骺是骨在发育过程中,骨两端的软骨中出现的骨化点。儿童长骨的骨骺未闭合时,X线片上表现为较宽的横行透光带,随着年龄增长而逐渐变窄,形成一条透光线,X线学上称它为骨骺线。最后,骨骺与干骺端进行骨性连接形成骨端,长骨停止生长,骨骺线随之消失,有时残留一条致密线痕迹。

异常情况
骨骺是骨骼发育阶段中的软骨内化骨的一个组成部分,随着骨的发育成熟而融合,故骨骺异常状态的发生必然是在骨化未完成之前。骨骺部分异常涉及骨骺生长板,也影响骺软骨和干骺端,将影响骨的增长,引发畸形、无菌坏死、骨关节炎等后遗病变,多种因素均可引发骨骺的异常改变,如创伤、先天性畸形等。
参考文献
[1]马文辉编著.骨科疾病临床诊疗[M].长春.吉林科学技术出版社.2019.33.
[2]胥少汀,葛宝丰,卢世壁主编.实用骨科学.上.第4版修订本[M].郑州.河南科学技术出版社.2019.83.
展开
