概述
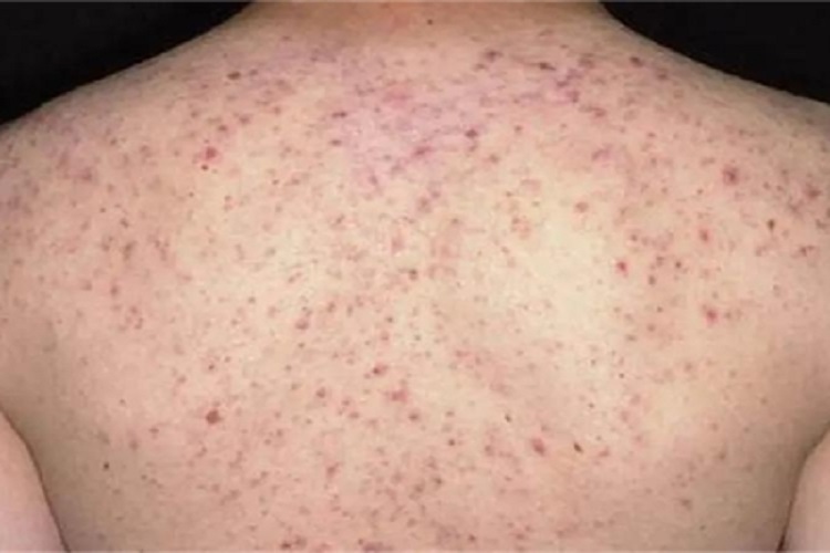
痤疮可导致患者背部出现数目众多的针尖大小黑色粉刺,稍高出皮面,中部有黑色角质栓。
本病是由于背部皮脂腺比较发达,分泌的油脂较多堵塞毛孔所致,可遵医嘱治疗。
症状
痤疮可导致患者背部出现数目众多的针尖大小黑色粉刺,粉刺部位稍高出皮面,中部有黑色角质栓,用手触摸有明显的粗糙感,继续发展会出现更大的丘疹。

病因
痤疮背部有很多黑头的发生,是由于背部皮脂腺比较发达,分泌的油脂较多会堵塞毛孔,如果皮肤清洁不彻底,分泌的油脂与脱落的表皮细胞混合,可以堵塞毛囊形成黑头粉刺,从而导致背部出现黑头。
治疗
针对痤疮背部有很多黑头的症状,患者可遵医嘱应用阿达帕林凝胶和尿素维E乳膏混合外用,同时可在医生的指导下口服丹参酮胶囊或者异维A酸软胶囊治疗。
在治疗过程中患者还应注意背部皮肤的清洁,勤洗澡,洗澡时将背部重点洗干净。同时需要禁食辛辣、刺激性的食物,忌饮酒,减少油炸和甜食的摄入,注意休息、减少熬夜。
参考文献
[1]吴志华,史建强,李定等主编;张锡宝,王建琴,郑敏等副主编.皮肤性病诊断与鉴别诊断[M].北京.科学技术文献出版社,2018.318-620.
[2]张学军,郑捷.皮肤性病学.第9版[M].北京.人民卫生出版社.2018.167-169.
展开
