概述
肺不张X线的表现主要为患侧肺野出现均匀一致性的密度增高影。
肺不张主要是气道受到阻塞或肺组织受压迫,肺组织萎缩导致。
症状
肺不张主要分为一侧肺不张、肺叶不张、肺段不张,X线表现有所不同,具体如下:
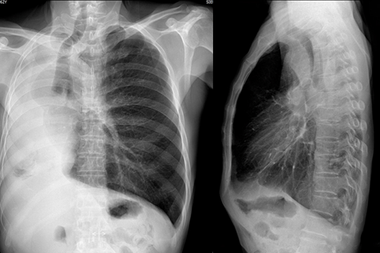
一侧肺不张
一侧肺不张X线表现为患侧肺野呈均匀一致性的密度增高影,胸廓塌陷,肋间隙变窄,纵隔向患侧移位,横膈升高,心缘及横膈影均不清楚,健侧肺呈代偿性肺气肿表现。

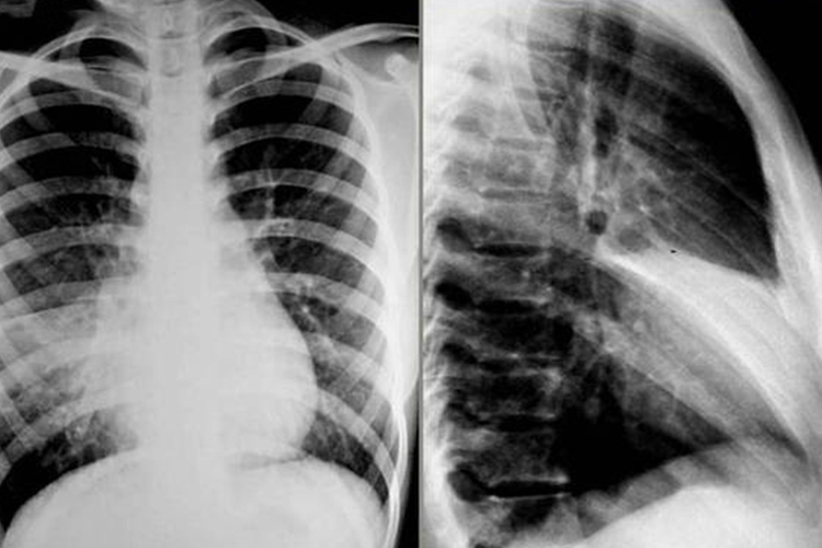
肺叶不张
肺叶不张的X线表现为肺叶体积缩小,密度增高,肺血管、肺门及纵隔不同程度向患侧移位,邻近肺叶可出现代偿性肺气肿。

肺段不张
较少见,正位及侧位一般表现为基底在外、尖端指向肺门的三角形密度增高影,肺段体积缩小,右中叶内侧段不张则特殊,正位呈基底向内与右心缘重叠、尖端向外的三角形密度增高影。

病因
肺不张是由支气管阻塞引起,如主支气管有异物嵌顿、肺叶支气管有肿瘤生长、终末细支气管被黏液等阻塞,均可引起肺组织不能正常膨胀而缩小,支气管完全阻塞后18-24h,肺泡腔内的气体被循环的血液所吸收,肺组织萎缩,也可以是胸部受到外伤,出现气胸或胸水压迫肺组织,从而出现不同的肺不张X线表现。
治疗
当X线检查发现存在肺不张时,需进一步配合医师检查引起肺不张的原因,根据原发病进行针对性的干预治疗。如气道阻塞导致,需针对阻塞原因,应用抗菌消炎药物、雾化吸入祛痰治疗、癌肿切除治疗等。如为气胸或胸水压迫导致,需解除气胸,穿刺排气、引流胸水,并结合抗感染药物治疗。
参考文献
[1]韩萍,于春水.医学影像诊断学.第4版[M].北京.人民卫生出版社.2017.186-187.
[2]万学红,陈红.临床诊断学.第3版[M].北京.人民卫生出版社.2015.194-195.
展开
