概述
口腔血泡,医学上称为血疱,表现为口腔黏膜内小的圆形突起,内有血液潴留。
口腔出现血疱,常见的疾病主要有创伤性血疱或黏膜类天疱疮。
症状
不同疾病导致的口腔血疱症状各异。
创伤性血疱:因进食创伤引起,血疱易发生在咀嚼侧的软腭舌腭弓、颊、舌等部位。血疱发生后可迅速扩大至直径1-3cm,疼痛不明显,但异物感明显。初起时疱液鲜红,之后变为紫黑色,疱壁较薄,容易破溃,破溃后遗留鲜红色疱底创面,疼痛明显。

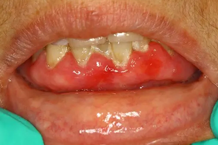
黏膜类天疱疮:发生于口腔黏膜的任何部位,牙龈最先出现。损害早期,在龈缘及附着龈处形成直径为2-6mm的血疱,疱壁不易被揭起。疱壁被去除后可见一光滑的红色溃疡面。

病因
创伤性血疱是因食用过烫、过硬或吞咽大块食物擦伤口腔黏膜而引起的黏膜血疱。而黏膜类天疱疮属于自身免疫性疾病。由于病损区存在抗自身细胞连接的抗体,导致黏膜松弛,食物摩擦就会形成血疱。
治疗
口腔黏膜创伤性血疱多可自行破溃。未破溃的血疱可用无菌注射器抽取疱液,或刺破血疱。局部可用止痛、防腐、促进愈合的外用药,如口腔溃疡散、氯已定含漱液等。
黏膜类天疱疮主要以局部或全身的免疫治疗为主,局部用药是在病变区用泼尼松、曲安奈德倍他米松等局部注射。全身用药可采用中到大剂量的糖皮质激素作最初治疗,如泼尼松,疗效不理想时可加用硫唑嘌呤。
参考文献
[1]华红,刘宏伟.口腔黏膜病学.第1版[M].北京.北京大学医学出版社.2014.94-95,141-142.
[2]张志愿.口腔科学.第9版[M].北京.人民卫生出版社.2018.75.
展开
