概述
胫骨骨折愈合不良包括畸形愈合、迟缓愈合和不愈合,多由于胫骨骨折未得到整复和固定、复位不良、感染等原因导致。
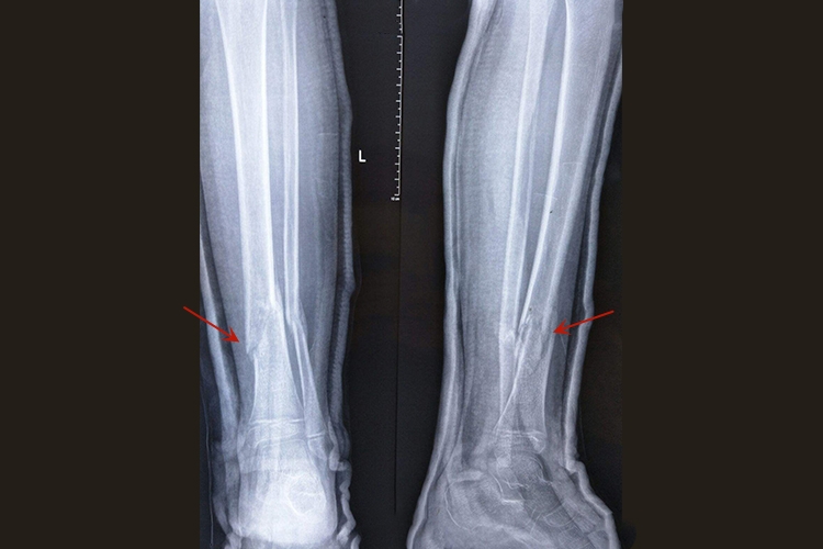
表现
胫骨骨折愈合不良包括畸形愈合、迟缓愈合和不愈合,具体如下:
胫骨骨折畸形愈合:是指骨折断端在重叠、旋转、成角状态下连接,而引起肢体功能障碍。X线上显示胫骨骨折端产生的骨痂较少、骨折线不消失、骨折断端无硬化现象,且有轻度脱钙。

胫骨骨折迟缓愈合:胫骨骨折经治疗后,已超过同类骨折正常愈合的最长期限,骨折处局部仍有肿胀、压痛,纵轴叩击痛,异常活动,功能障碍。X线片显示骨痂生长缓慢而未连接,但骨折断端无硬化现象,骨髓腔仍通。

胫骨骨折不愈合:是指胫骨骨折愈合功能停止,骨折端已形成假关节。X线片显示胫骨骨折端互相分离,间隙增大,骨端硬化或萎缩疏松、髓腔封闭,用一般的固定方法无法使之连接。

原因
胫骨畸形愈合、迟缓愈合和不愈合具有不同的原因,具体如下:
胫骨骨折畸形愈合:多由胫骨骨折未得到整复和固定,或整复位置不良、固定不恰当,或过早去除固定及进行不适当的活动、负重等,使胫骨骨折端重新移位而引起。
胫骨骨折迟缓愈合:多由于过度牵引、粗暴或多次手法整复,复位不良,内外固定不确实,胫骨骨折端有软组织嵌入,骨折段血供不良,功能性废用,骨质疏松,手术过度剥离损伤骨膜,髓腔阻塞,周围软组织损伤严重或感染,营养不良,体质虚弱等原因造成。
胫骨骨折不愈合:胫骨骨折本身条件差,如大块骨缺损、软组织严重剥离等,或遭受不利于骨折愈合的应力干扰、骨本身的感染和骨折端周围软组织的感染,可导致骨折不愈合。
参考文献
[1]黄锐主编.临床骨科常见病诊治与急救.上[M].长春.吉林科学技术出版社,2016.03.35.
[2]曾炳芳主编.OTC中国创伤骨科教程.第2版[M].上海.上海科学技术出版社,2021.01.315.
展开
