概述
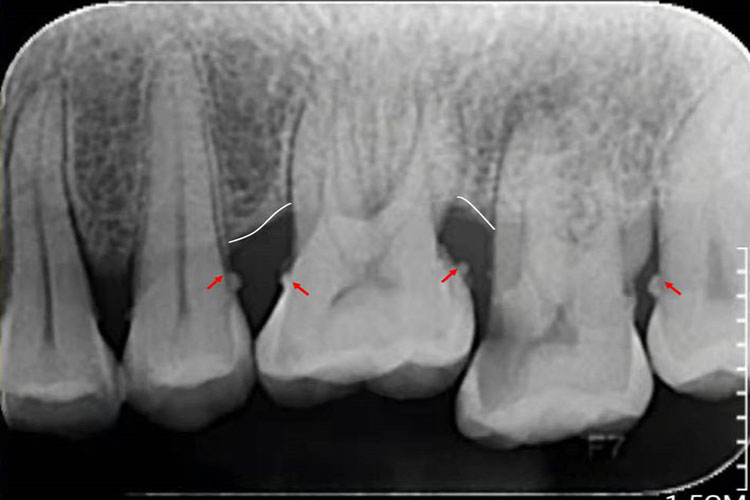
龈下牙结石位于龈缘以下、龈袋或牙周袋内的根面上,肉眼不能直视。
附着性龈下菌斑是造成龈下牙结石的主要因素。
症状
牙结石根据其沉积部位和性质分为龈上牙结石和龈下牙结石两种。龈下牙结石位于龈缘以下、龈袋或牙周袋内的根面上,肉眼不能直视,可用探针探查,或通过影像学检查,方能知其沉积部位和沉积量。龈下牙结石在任何牙位上都可形成,但以牙齿邻面和舌侧面较多。


病因
龈下菌斑可分为附着性龈下菌斑和非附着性龈下菌斑。其中附着性龈下菌斑是造成龈下牙结石的主要因素,以革兰阳性球菌及杆菌为主。
治疗
龈下牙结石可使用龈下刮治术治疗,即根面平整术,是用比较精细的龈下刮治器刮除位于牙周袋内根面上的牙结石及部分病变牙骨质,以获得光滑、坚硬根面的过程。
参考文献
[1]章圣朋.梁源.黎祺主编.口腔临床药物学[M].上海.同济大学出版社.2020.209.
[2]刘玉杰主编.口腔健康与全身健康[M].北京.生活·读书·新知三联书店.2017.065.
[3]刘月华编著.上海科普教育促进中心组编.护卫牙健康[M].上海.上海科学技术出版社.2019.92.
展开
