概述
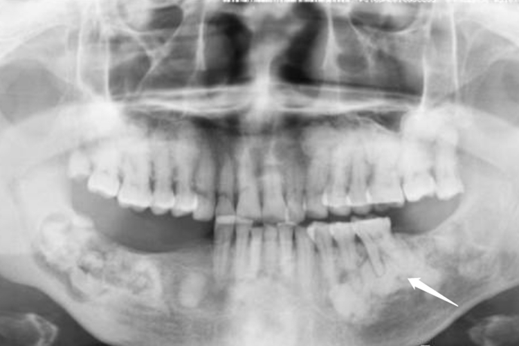
口腔致密性骨炎临床指根尖周致密性骨炎,X线检查可见患牙根尖区骨小梁增多、增粗。
根尖周致密性骨炎是由于根尖周组织受到慢性刺激,局部骨质增生导致。
症状
口腔致密性骨炎临床指根尖周致密性骨炎,X线检查显示患牙根尖区骨小梁增多、增粗,骨质密度增高,骨髓腔变窄甚至消失,与正常骨组织无明显分界。根尖部牙周膜间隙可增宽,根尖无增粗膨大。

病因
根尖周致密性骨炎是因组织受到长期的轻微刺激,患者机体抵抗力较强,根尖部的牙槽骨不发生吸收性破坏,反而出现骨质的增生,围绕根尖周围形成一团致密骨。
治疗
根尖周致密性骨炎需消除刺激因素,若存在牙髓炎或牙髓坏死,可遵医嘱应用抗炎药物及止痛药物治疗,同时需要进行根管治疗,治疗后X线片的影像可逐渐恢复正常。
参考文献
[1]樊明文主编.中华医学百科全书 2 临床医学 口腔医学[M].北京.中国协和医科大学出版社.2018.48-49.
[2]周学东.牙体牙髓病学.第5版[M].北京.人民卫生出版社.2020.179-180.
展开
