概述
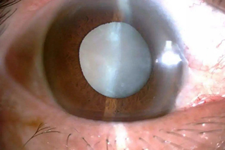
白内障可表现为患者瞳孔混浊,形似大理石纹理,伴有视力下降,可能与紫外线照射等有关,可遵医嘱手术治疗。
症状
白内障可导致患者视力下降,对比敏感度下降,可表现为晶状体出现混浊,严重时会见到瞳孔及周边黑眼球几乎全部变混浊,颜色变浅,呈灰白色,形似白色大理石的纹理。

病因
白内障的发病机制较为复杂,是机体内外各种因素对晶状体长期综合作用的结果。
由于晶状体处于眼内液体环境中,任何影响眼内环境的因素,如老化、遗传、代谢异常、外伤、辐射、中毒、局部营养障碍以及某些全身代谢性或免疫性疾病,都可以直接或间接破坏晶状体的组织结构、干扰其正常代谢而使晶状体混浊。
流行病学研究表明,紫外线照射、糖尿病高血压、心血管疾病、机体外伤、过量饮酒及吸烟等均与白内障的形成有关。
治疗
白内障的手术治疗,仍然是各种白内障的主要治疗手段。通常采用在手术显微镜下施行的白内障超声乳化术,或白内障囊外摘除术联合人工晶状体植入术,可以获得满意的效果。
其他常见的手术方法包括白内障针拨术、白内障囊内摘除术、超声乳化白内障吸除术、飞秒激光辅助下白内障摘除术、人工晶状体植入术等,以上治疗均需遵医嘱进行。
参考文献
[1]杨培增,范先群.眼科学.第9版[M].北京.人民卫生出版社.2018.133-134.
[2]葛均波,徐永健.眼病学.第3版[M].北京.人民卫生出版社.2017.61-63.
展开
