概述
石女即MRKH综合征,指女性患有先天性阴道狭窄,也可能兼有子宫发育不良。
MRKH综合征一般需要进行妇科检查、实验室检查、影像学检查等明确诊断。
症状
MRKH综合征患者幼时并无症状,青春期后女性第二性征发育正常,但无月经来潮,常于原发性闭经就诊时发现。少数MRKH综合征患者直至婚后发现性交困难而就诊,极少数患者因性交长期顶压形成一阴道浅穴或尿道扩张,甚至出现会阴直肠瘘。此外,极少数MRKH综合征患者存在功能性子宫内膜,可随月经周期出现周期性下腹痛,影响正常工作和生活。这类患者往往发病早,易被发现。
病因
石女是一种先天性发育异常,可能由胚胎发育第5-6周出现的可影响间介中胚层发育的基因缺陷所致,这些缺陷可影响左、右两侧副中肾管中央壁的融合。
诊断
MRKH综合征的诊断方法主要包括一般检查、妇科检查、实验室检查、影像学检查、腹腔镜检查。
一般检查
注意第二性征的发育情况,如身材、体态、毛发分布及乳房的发育是否正常,以排除性腺发育异常。MRKH综合征患者的第二性征发育正常,表现为正常女性体态。
妇科检查
外阴发育正常,阴道前庭仅有尿道开口而无阴道开口,有时呈一浅凹或深2-3cm的凹陷。肛查子宫缺如,或仅可扪及一实性小结节或小子宫,即为有内膜功能但发育不良的子宫。
实验室检查
包括染色体检查及女性激素水平测定。MRKH综合征患者为正常女性染色体核型,46XX。因其卵巢发育及功能均正常,有排卵,故女性激素检测表现为正常水平。
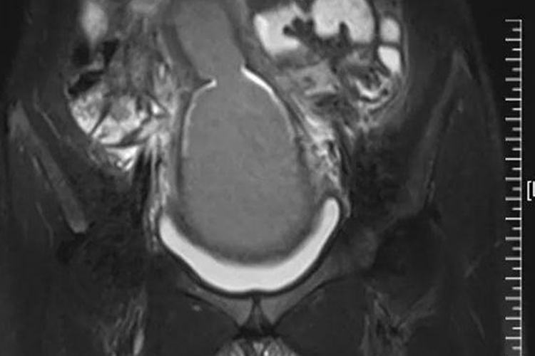
影像学检查
盆腔B超:为首要的诊断方法。B超检查常显示子宫缺如,或膀胱顶部后方可探及一实性小结节,即为始基子宫。对于少数有功能内膜但发育不良子宫的患者可显示为盆腔包块或积血的子宫,卵巢一般显示为正常大小。

泌尿系统B超:可正常,也可发现一侧肾缺如或发育不良、异位肾、肾脏等泌尿系统发育异常。
盆腔磁共振成像:常作为进一步检查的手段,对宫颈、子宫的结构检查得更为精确,尤其对于存在功能内膜但发育不良子宫的患者,具有精确诊断的价值。

X线和计算机体层成像检查:对于排查合并骨骼系统畸形有价值,常用于全脊柱正、侧位拼接相检查。可发现脊柱侧弯、椎体发育不良或融合、脊柱裂、骶椎隐性裂等脊柱发育畸形,以及胸廓、肋骨等发育畸形。
腹腔镜检查
对干可疑合并盆腔(或卵巢)子宫内膜异位症,或少数存在功能内膜的患者,腹腔镜兼有诊断和治疗的双重价值,术中可同时评估卵巢情况,但并非常规的诊断手段。
治疗
主要治疗分非手术及手术治疗,目前建议18岁后进行。
顶压法
用阴道模具压迫阴道凹陷,使其扩张并延伸到接近正常阴道的长度。尤适用于阴道凹陷组织松弛者。顶压法因为无创操作,应作为一线方法推荐给患者。
阴道成形术
方法多种,各有利弊。手术方法均为在膀胱直肠间造穴,采用不同材料铺垫人造洞穴。常见术式有生物补片法阴道成形术、羊膜法阴道成形术、腹膜法阴道成形术、乙状结肠法阴道成形术、皮瓣阴道成形术等方法。
参考文献
[1]朗景和,沈铿,潘凌亚,向阳,朱兰.妇产科学新进展[M].中华医学电子音像出版社.2019.13-15.
[2]沈铿,马丁.妇产科学.第3版[M].北京.人民卫生出版社.2015.368.
